症例詳細
Case detail
銀歯を白くしたい セラミッククラウン
治療症例の内容
- 診療科目
- 治療カテゴリ
- 担当医
- 患者様
- 30代女性
- 治療期間
- 1ヶ月
- 治療回数
- 2-5回
- 治療計画
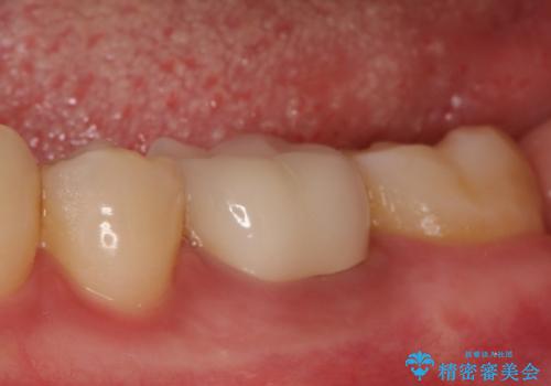
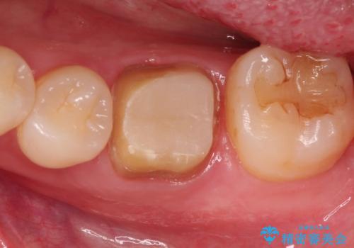
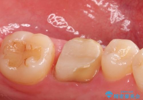
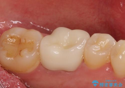
- 下の奥歯の銀歯を白くしたいとのことで来院されました。
痛みなどの症状はなく、前に根管治療を行っている歯になります。
古い銀歯を除去し、審美性の良いセラミッククラウンでの治療を行うこととしました。
- 費用(概算)
- 10万(オールセラミッククラウン)、2万(ファイバーコア)費用は治療当時の料金となります
治療について
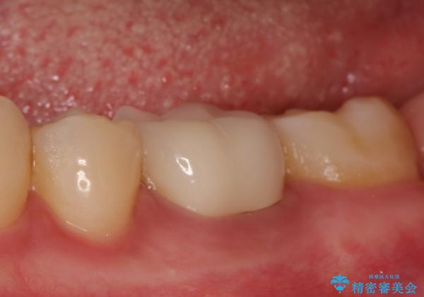
銀歯を除去し、セラミッククラウンに替えました。
審美性が良くなるだけでなく、拡大鏡を使用した治療、精度の高い材料の使用によって、虫歯の再発リスクを減らすことができます。
セラミック治療の注意事項(リスク・副作用など)
- 天然歯を削ります
- 硬い素材は天然歯を傷つけてしまう場合があります
- かみ合わせや歯ぎしりが強すぎる方はセラミックが割れてしまう可能性があります
- 自費診療(保険適用外治療)となります
当サイトの内容、テキスト、画像等の無断転載、複製、複写、盗用を固く禁じます。











