症例詳細
Case detail
銀歯の劣化・セラミックインレー修復
治療症例の内容
- 診療科目
- 治療カテゴリ
- 担当医
- 大元洋佑(ドクタープロフィール)
- 患者様
- 30代男性
- 治療期間
- 1ヶ月
- 治療回数
- 2-5回
- 治療計画
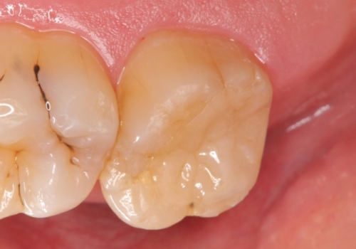
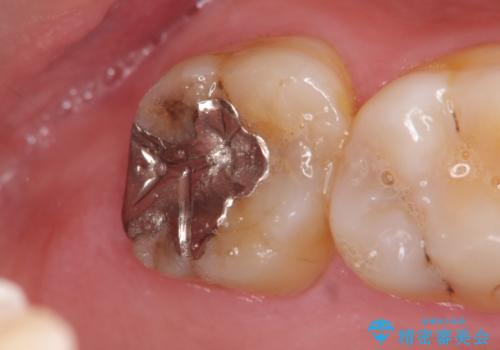
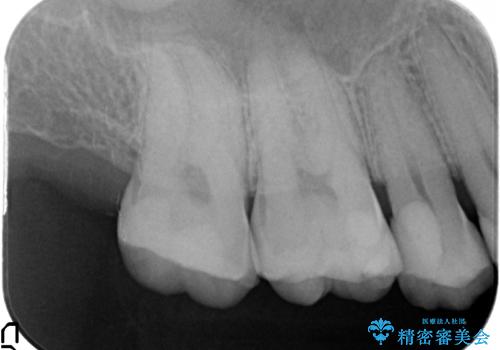
- 以前に治療を行った銀歯がしみることの改善を希望して来院されました。
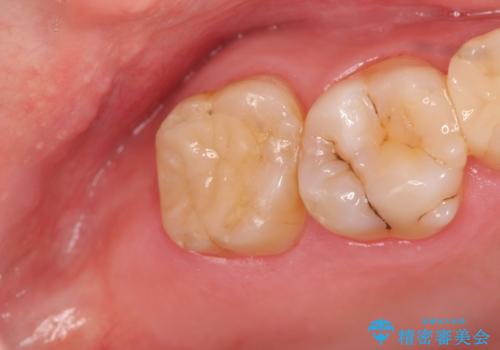
銀歯辺縁からのセメント漏洩が認められたため、セラミックインレーによる精度の高い修復を行うこととなりました。
- 費用(概算)
- 7万円費用は治療当時の料金となります
辺縁の漏洩について
修復物の精度が悪いと、接着材であるセメントが漏出し痛みが生じることがあります。
劣化の速度が遅い材料を用いて、精度の高い修復を行うことで長期的な予後が期待できます。
セラミック治療の注意事項(リスク・副作用など)
- 天然歯を削ります
- 硬い素材は天然歯を傷つけてしまう場合があります
- かみ合わせや歯ぎしりが強すぎる方はセラミックが割れてしまう可能性があります
- 自費診療(保険適用外治療)となります
当サイトの内容、テキスト、画像等の無断転載、複製、複写、盗用を固く禁じます。






