症例詳細
Case detail
がたがたと出っ歯を直したい ワイヤーによる抜歯矯正
治療症例の内容
- 診療科目
- 担当医
- 患者様
- 20代女性
- 治療期間
- 2年4ヶ月
- 治療回数
- 10-30回
- 治療計画
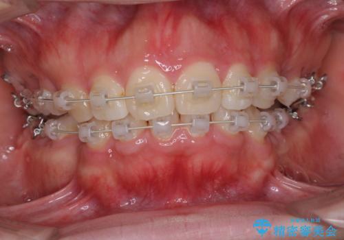
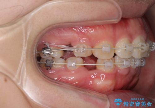
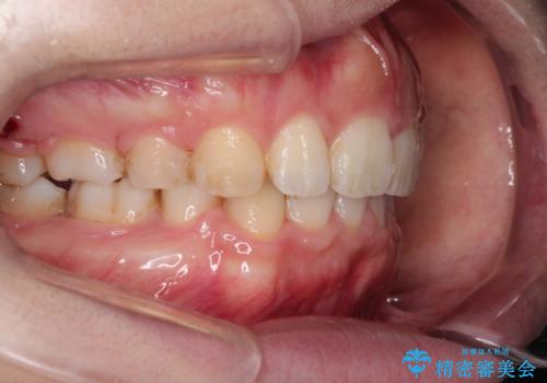
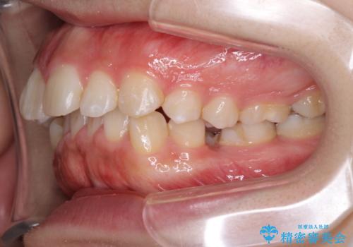
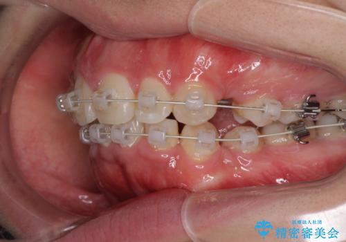
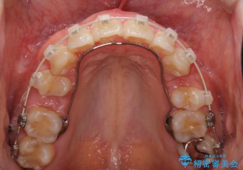
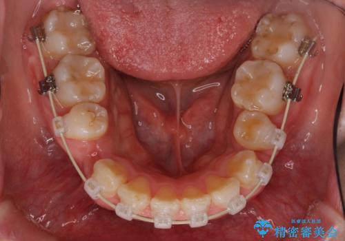
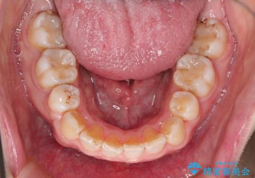
- ガタガタと出っ歯を主訴に来院されました。
上下左右の歯を1本ずつ、合計4本抜歯してワイヤーにて矯正治療をすることとなりました。
- 費用(概算)
- 約95万円費用は治療当時の料金となります
治療について
前から4番目の歯を抜歯することが多いのですが、右上の前から5番目の歯が神経の治療済みであり、こちらの歯を抜歯する計画としました。
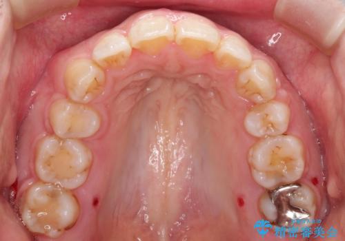
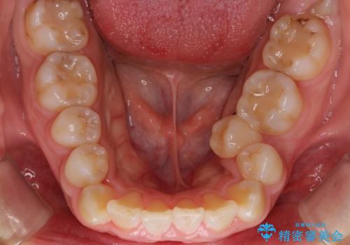
通常より治療期間を要しましたが、健康な歯を残すことができました。
ワイヤー矯正の注意事項(リスク・副作用など)
- 治療中は違和感や痛みが起こることがあります
- 症状により、抜歯が必要な場合があります
- 治療中は歯磨きがしにくくなるため、虫歯や歯周病になりやすくなります
- 矯正治療後の保定が不十分だと後戻り(元の位置に戻ろうとする動き)をします
- 自費診療(保険適用外)となります
当サイトの内容、テキスト、画像等の無断転載、複製、複写、盗用を固く禁じます。



















