症例詳細
Case detail
奥歯に違和感がある 30代男性
治療症例の内容
- 患者様
- 30代男性
- 治療期間
- 6ヶ月
- 治療回数
- 5-10回
- 治療計画
- 奥歯の違和感を主訴に来院された患者様です。
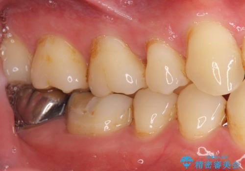
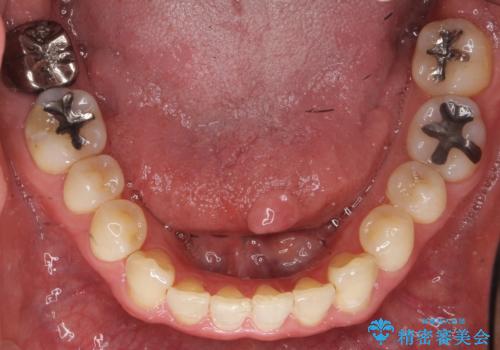
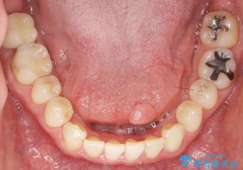
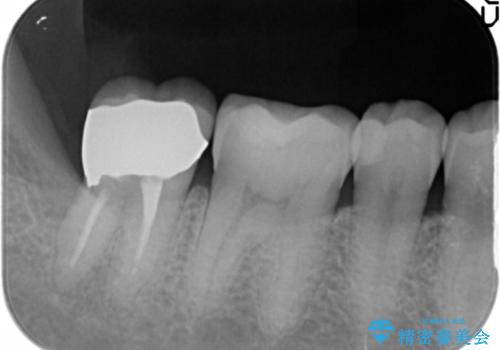
精査したところ、右下の一番奥の歯(右下7)に歯肉縁下に及ぶ深いう蝕を認めました。
神経がない歯であり痛みが出ないことから、自覚症状がほとんどなくう蝕が大きく進行してしまったと考えられます。
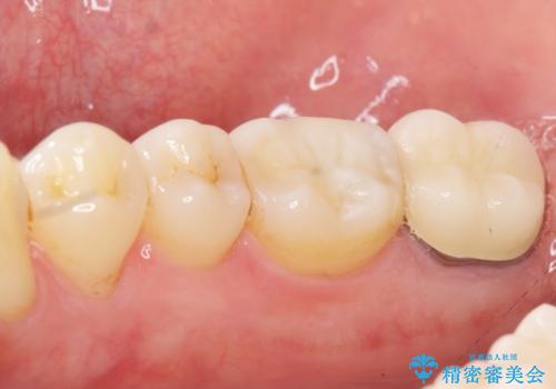
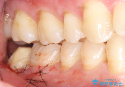
銀歯を除去し、歯周外科処置(右下7遠心の骨整形及びディスタルウェッジ)を行った後にメタルボンドクラウンによる補綴を行いました。
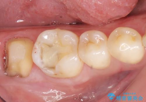
隣の歯(右下6)はセラミックインレーで修復しました。
- 費用(概算)
- ¥290,000 (歯周外科処置、仮歯、土台、クラウン、インレー)費用は治療当時の料金となります
治療について
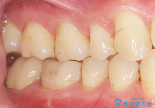
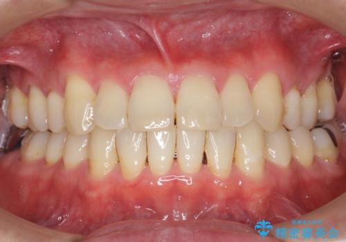
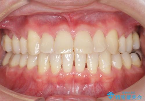
歯周外科処置(右下7遠心の骨整形及びディスタルウェッジ)により、深部に及ぶう蝕を除去するとともに歯肉縁上の健全歯質を獲得でき、適合の良い被せ物を作製することができました。
不適合な銀の詰め物とう蝕の除去により奥歯の違和感がなくなり、セラミック治療により機能性・審美性が向上し、患者様に喜んで頂けました。
被せ物の種類:右下6 e-max press セラミックインレー
右下7 メタルボンドクラウン エコノミー
セラミック治療の注意事項(リスク・副作用など)
- 天然歯を削ります
- 硬い素材は天然歯を傷つけてしまう場合があります
- かみ合わせや歯ぎしりが強すぎる方はセラミックが割れてしまう可能性があります
- 自費診療(保険適用外治療)となります
当サイトの内容、テキスト、画像等の無断転載、複製、複写、盗用を固く禁じます。




















