症例詳細
Case detail
他院で治療中の歯 ゴールドインレーによる修復治療
治療症例の内容
- 診療科目
- 治療カテゴリ
- 担当医
- 藤巻太一朗(ドクタープロフィール)
- 患者様
- 30代男性
- 治療期間
- 1ヶ月
- 治療回数
- 2-5回
- 治療計画
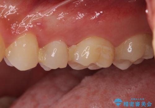
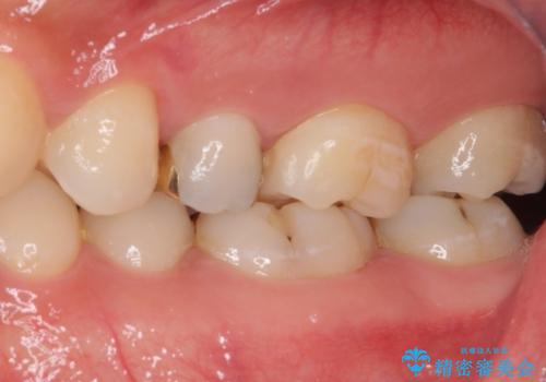
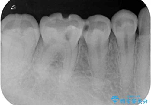
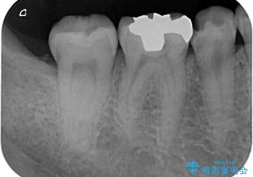
- 近医にて虫歯治療中に転院を希望とのことで来院された患者様です。
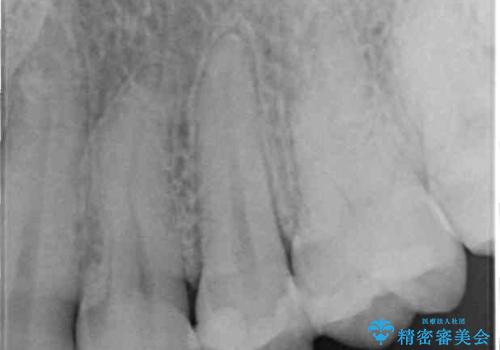
左上奥と右下奥に治療中の歯があり、虫歯を取っている途中で仮詰めの材料が充填されている状態でした。
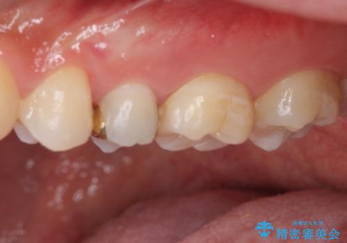
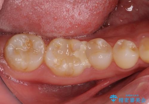
当初はセラミックインレーによる修復治療を希望されいましたが、カウンセリングの結果、審美性よりも安定性を優先され、PGAインレー(ゴールドインレー・白金加金合金インレー)による治療を行うこととしました。
- 費用(概算)
- 治療費の目安: 12万円費用は治療当時の料金となります
治療について
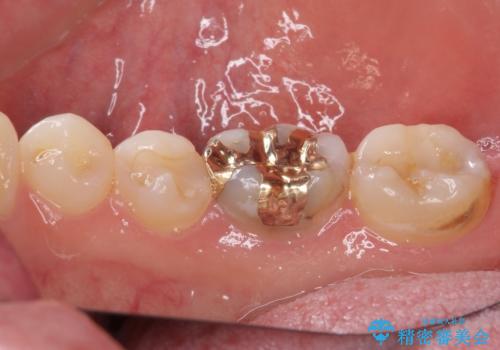
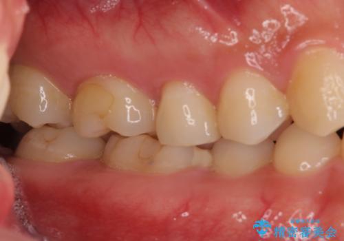
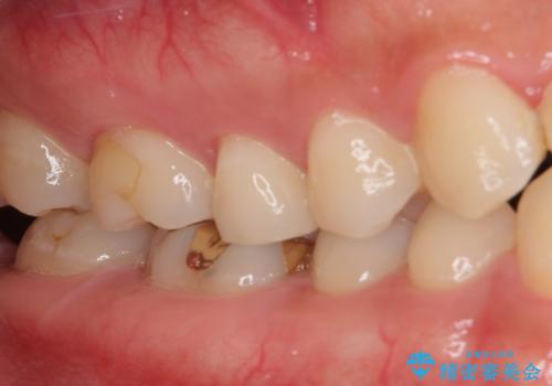
仮詰め材を外すと虫歯が残っていたので、全てを取り除いた後に、ゴールドインレーの型どりを行いました。
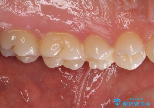
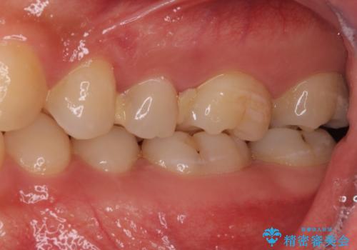
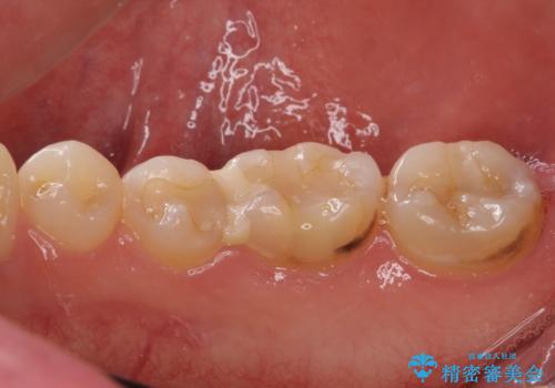
ゴールドインレーをご自身で選択いただいたものの、どういった仕上がりとなるか不安を感じていたようですが、実際に装着された口腔内をご覧になり、思ったほど金属色が気にならないとのことでした。
咬んだ感触はご自分の歯のときと比べ全く遜色なく、患者様には大変満足していただきました。
PGA(ゴールド)クラウン、インレーの注意事項(リスク・副作用など)
- インレーおよびクラウンは脱離するリスクがあります
- 形成量はセラミックより少ないですが、歯の形成、修復後に歯に症状が出ることがあります
- 自費診療(保険適用外治療)となります
当サイトの内容、テキスト、画像等の無断転載、複製、複写、盗用を固く禁じます。




















