症例詳細
Case detail
前歯で引っ込んでいる歯がある 他院で矯正200万と言われた
治療症例の内容
- 診療科目
- 担当医
- 井上季実子(ドクタープロフィール)
- 患者様
- 40代女性
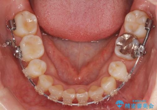
- 矯正装置
- 審美装置
- 治療期間
- 2年2ヶ月
- 治療回数
- 10-30回
- 治療計画
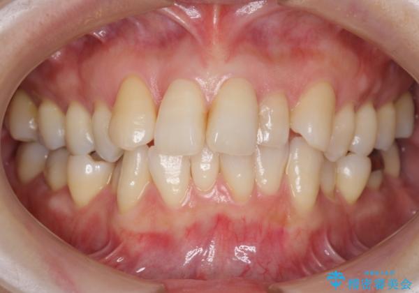
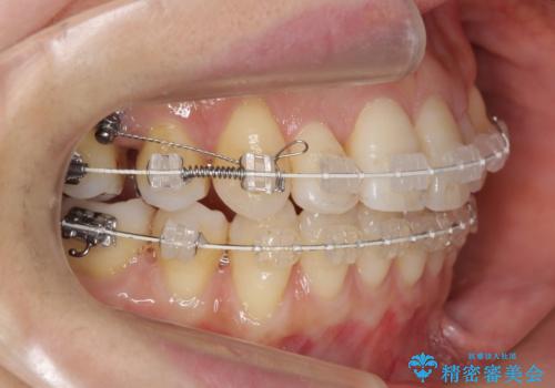
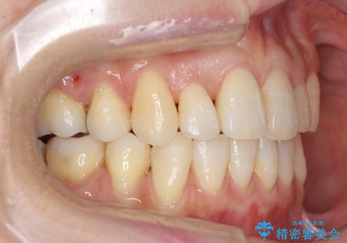
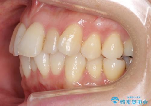
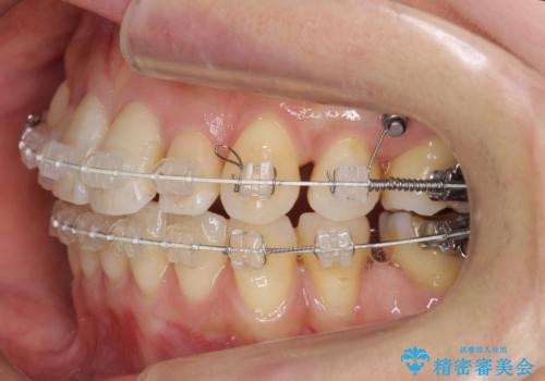
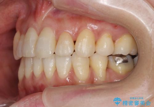
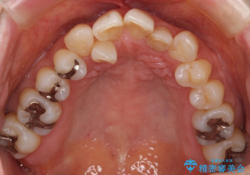
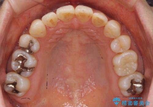
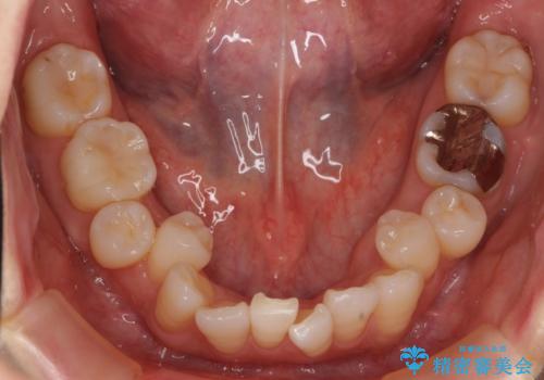
- 前歯のガタガタを主訴に来院。
 
 当院の前に1件相談に行ったが、表側ワイヤーで200万円と言われたとのこと。
 
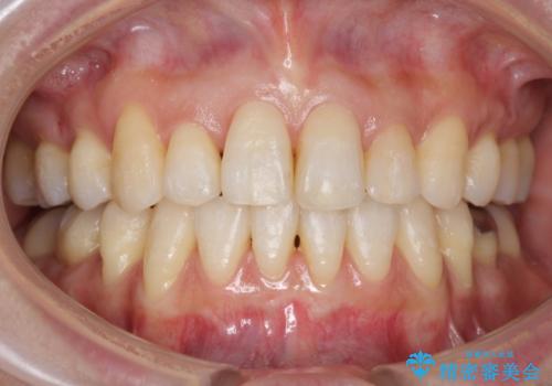
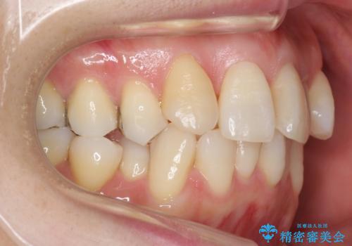
 確かに、40代であり、臼歯はかみ合わせのズレがあり、また、右上2は完全に舌側転位しており歯の移動に時間はかかりそうでしたが、中等度の難易度の抜歯ケースなので、100万円以内で収まるというお話をしました。200万円は相場よりだいぶ高いのではとお話し、当院で治療開始となりました。
 
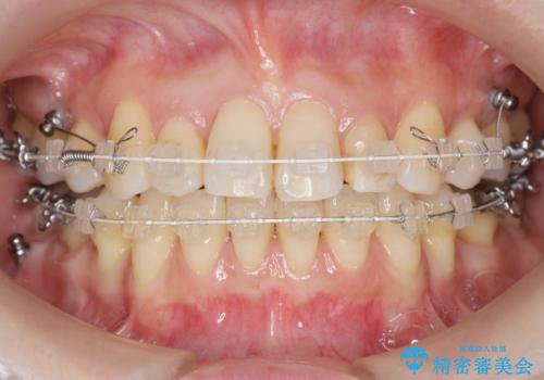
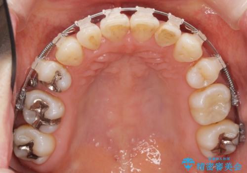
 上下左右の小臼歯を抜歯しています。また、上の奥歯を後ろに送っているため、マイクロインプラントを使用しています。
 
 
- 費用(概算)
- 95万円費用は治療当時の料金となります
治療について
疑問に思ったら、セカンドオピニオンをおすすめします。
ワイヤー矯正の注意事項(リスク・副作用など)
- 治療中は違和感や痛みが起こることがあります
- 症状により、抜歯が必要な場合があります
- 治療中は歯磨きがしにくくなるため、虫歯や歯周病になりやすくなります
- 矯正治療後の保定が不十分だと後戻り(元の位置に戻ろうとする動き)をします
- 自費診療(保険適用外)となります
当サイトの内容、テキスト、画像等の無断転載、複製、複写、盗用を固く禁じます。








 
                       
                                                          


















 
                   
                   
                  