症例詳細
Case detail
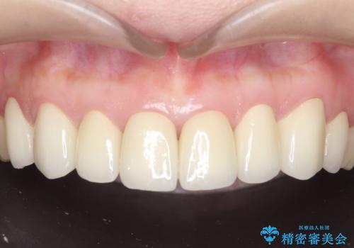
オールセラミッククラウン 前歯部の見た目の改善
治療症例の内容
- 診療科目
- 治療カテゴリ
- 担当医
- 患者様
- 40代女性
- 治療期間
- 2ヶ月
- 治療回数
- 2-5回
- 治療計画
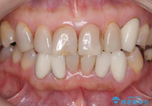
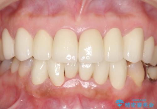
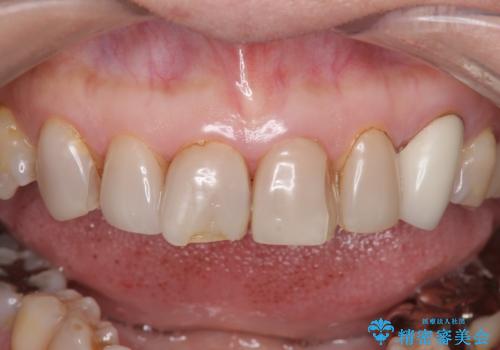
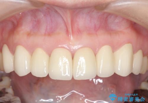
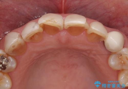
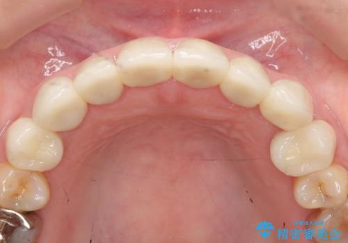
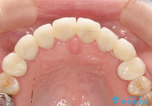
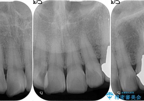
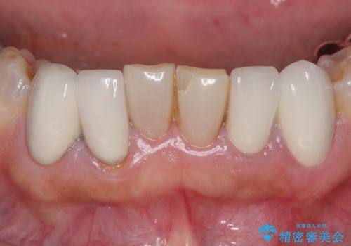
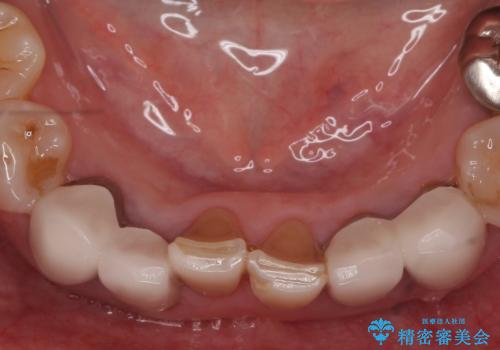
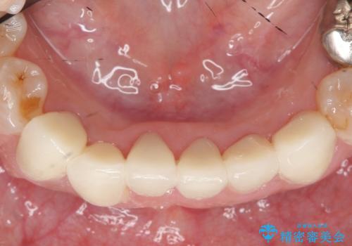
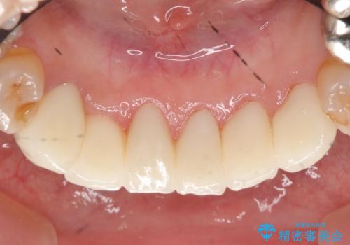
- 上下顎前歯部の見た目が気になるといらっしゃった方の症例です。
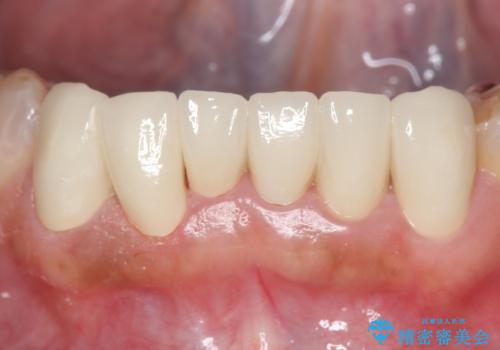
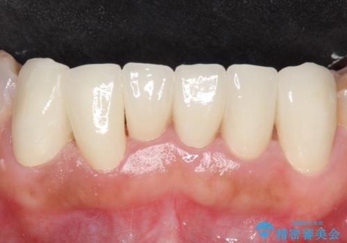
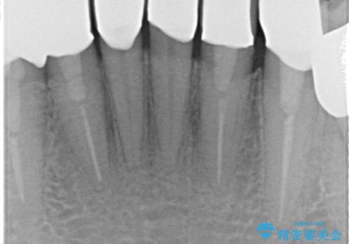
上顎は左4番から右4番までの8歯、下顎は左3番から右3番までの6歯、計14歯をオールセラミッククラウンにより補綴しました。
- 費用(概算)
- オールセラミッククラウン(スタンダード)…¥100,000×14、ファイバーコア…¥20,000×6、仮歯…¥10,000×14費用は治療当時の料金となります
オールセラミッククラウンについて
今回用いたオールセラミッククラウンはジルコニアフレームという白い素材の上にセラミックを盛っているため、審美性が非常に高いのが特徴です。
また、ジルコニアは人工ダイヤモンドの材料にも使われているほど高い強度を持っており、そのためオールセラミッククラウンは審美性だけでなく、奥歯やブリッジの補綴も可能とするクラウンです。
セラミック治療の注意事項(リスク・副作用など)
- 天然歯を削ります
- 硬い素材は天然歯を傷つけてしまう場合があります
- かみ合わせや歯ぎしりが強すぎる方はセラミックが割れてしまう可能性があります
- 自費診療(保険適用外治療)となります
当サイトの内容、テキスト、画像等の無断転載、複製、複写、盗用を固く禁じます。


















