症例詳細
Case detail
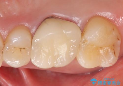
メタルボンドクラウン ゴールドから白い歯へ
治療症例の内容
- 診療科目
- 治療カテゴリ
- 担当医
- 患者様
- 20代男性
- 治療期間
- 3ヶ月
- 治療回数
- 2-5回
- 治療計画
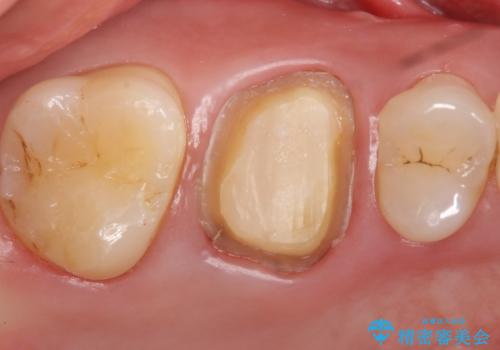
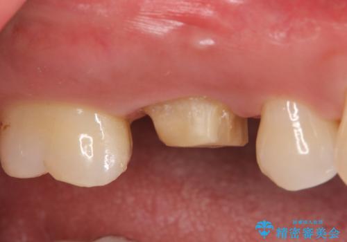
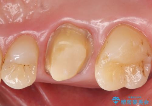
- 見た目が気になるため右上6のゴールドクラウンをセラミックにしたいといらっしゃった方の症例です。
再根管治療を御希望されたため根管治療を行った後、メタルボンドクラウンによる補綴を行いました。
- 費用(概算)
- メタルボンドクラウン(エコノミー)…¥90,000、ファイバーコア…¥20,000、仮歯…¥10,000費用は治療当時の料金となります
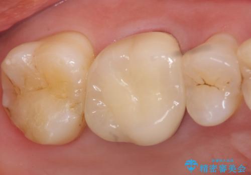
メタルボンドクラウンについて
金属フレームを用いたメタルボンドクラウンは、オールセラミッククラウンに比べ審美性で劣るというイメージが強いです。しかし歯肉の下までしっかりと被せれば、唇・頬側からは金属部が見えず、十分に審美的です。
また適合もよく、強度も高いので、奥歯の補綴には適したクラウンです。
根管治療の注意事項(リスク・副作用など)
- 根管治療により類似の全ての症例の問題が解決するわけではなく、症例はあくまでも一例です
- 根管治療により痛みや腫れがひかない事や、術後に痛みや腫れが生じる事、治療によるファイル破折やパーフォレーションなどの偶発症、術後の歯根破折を生じる可能性もあります
- 自費診療(保険適用外)となります
セラミック治療の注意事項(リスク・副作用など)
- 天然歯を削ります
- 硬い素材は天然歯を傷つけてしまう場合があります
- かみ合わせや歯ぎしりが強すぎる方はセラミックが割れてしまう可能性があります
- 自費診療(保険適用外治療)となります
当サイトの内容、テキスト、画像等の無断転載、複製、複写、盗用を固く禁じます。









