症例詳細
Case detail
体調が悪いと腫れる 根管治療とセラミック治療
治療症例の内容
- 診療科目
- 治療カテゴリ
- 担当医
- 患者様
- 40代男性
- 治療期間
- 3ヶ月
- 治療回数
- 2-5回
- 治療計画
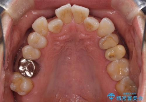
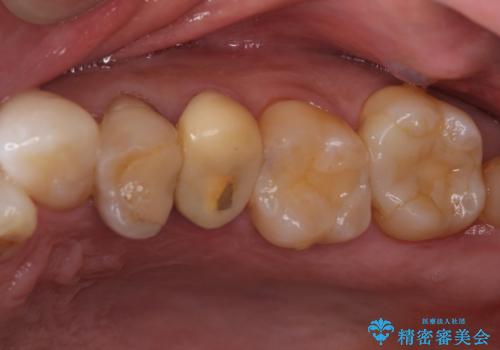
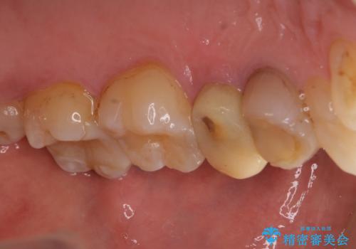
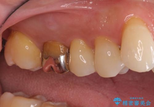
- 2年ほど放置していた左上の仮歯がとれたことをきっかけにご来院された患者様です。
セラミック治療がご希望でしたが、ときどき歯肉が腫れるということで根管治療もご希望されました。
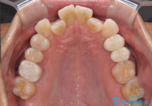
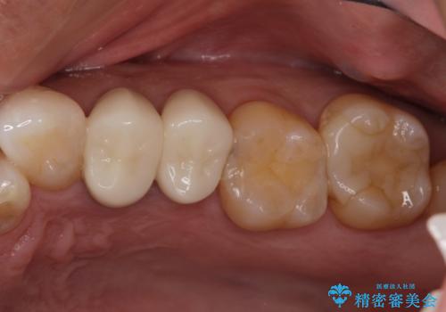
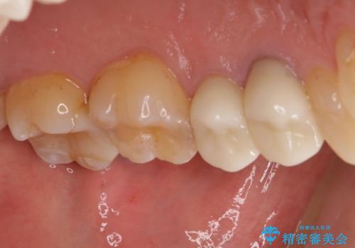
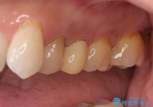
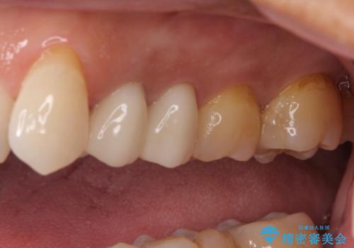
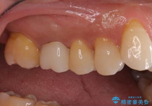
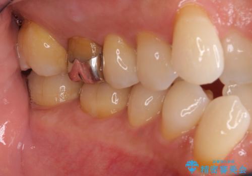
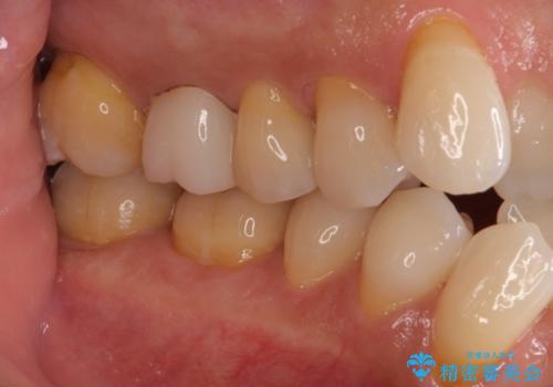
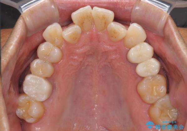
左上で効果を実感して頂き、その後右上もご希望されました。合計3本の歯を治療しました。
- 費用(概算)
- 30万円(根管治療は別途。詳細は下記に記載。)費用は治療当時の料金となります
治療詳細
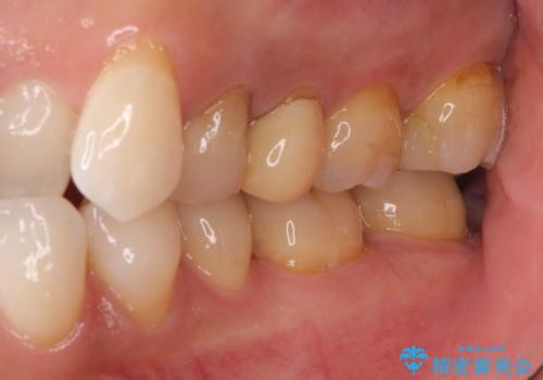
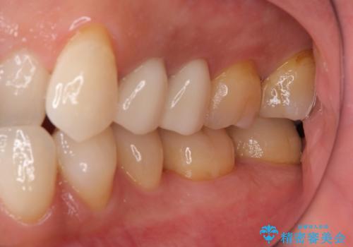
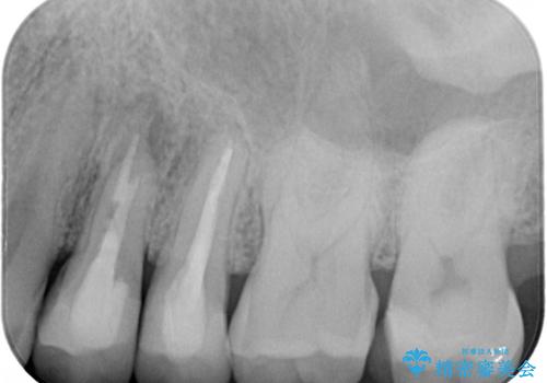
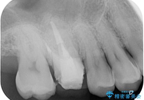
左上の仮歯を2年使用して穴があいて外れたことをきっかけにご来院されました。
レントゲン上からも、歯の中(根管)が汚れている可能性があることをご説明したところ、根管治療からやり直しをすることになりました。
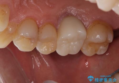
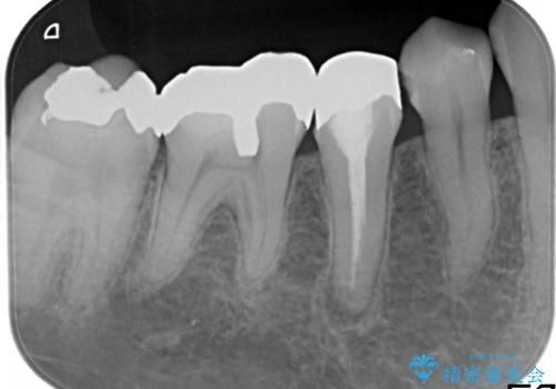
腫れもなくなり、見た目もきれいになったため、右上もご希望されて計3本の歯を治療しました。患者様には大変満足して頂きました。
根管治療について
保険根管治療は回数がかかることが多く、終了予定がわかりにくいです。
当院では、根管治療は長い時間のご予約を頂き、多くの場合2~3回で終わります。
根管治療は歯内の治療なので患者様には見えない場所ですが、ここが細菌で汚染されると激しい痛みや長引く違和感の原因になります。
当院では、清潔な治療を徹底し、顕微鏡を使用した精密な治療を行っています。
症状や根管の状態により、治療金額が異なります(5~10万円目安)。治療回数による費用負担の増減はありません。
根管治療専門医をご紹介させて頂く場合がございます。
セラミック治療の注意事項(リスク・副作用など)
- 天然歯を削ります
- 硬い素材は天然歯を傷つけてしまう場合があります
- かみ合わせや歯ぎしりが強すぎる方はセラミックが割れてしまう可能性があります
- 自費診療(保険適用外治療)となります
根管治療の注意事項(リスク・副作用など)
- 根管治療により類似の全ての症例の問題が解決するわけではなく、症例はあくまでも一例です
- 根管治療により痛みや腫れがひかない事や、術後に痛みや腫れが生じる事、治療によるファイル破折やパーフォレーションなどの偶発症、術後の歯根破折を生じる可能性もあります
- 自費診療(保険適用外)となります
当サイトの内容、テキスト、画像等の無断転載、複製、複写、盗用を固く禁じます。
























