症例詳細
Case detail
前歯の突き上げを改善する インビザライン による小矯正
治療症例の内容
- 診療科目
- 治療カテゴリ
- 担当医
- 大元洋佑(ドクタープロフィール)
- 患者様
- 50代女性
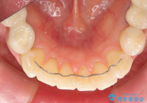
- 矯正装置
- インビザライン
- 治療期間
- 5ヶ月
- 治療回数
- 2-5回
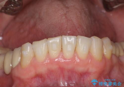
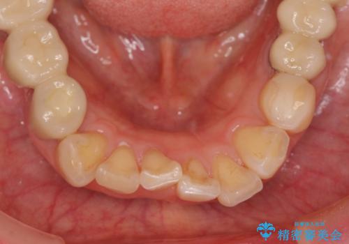
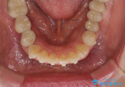
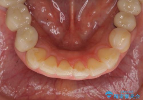
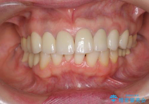
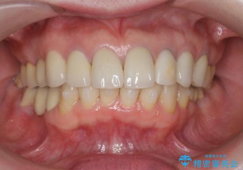
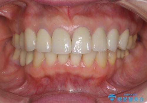
- 治療計画
- 下顎前歯のガタつきにより上顎前歯のクラウンに突き上げ・動揺が認められ、また歯ぎしりもあることから下顎前歯のみの小矯正をインビザライン で行うこととなりました。
- 費用(概算)
- 45万円(インビザライン ライトパッケージ)費用は治療当時の料金となります
下顎前歯の突き上げについて
噛み合わせが強くまた下顎に前歯にもガタつきが認められる場合、歯ぎしりやくいしばることで上顎前歯に大きな力がかかり歯の破折やクラウン損傷の大きなリスクとなることがあります。
このおようなリスクを最大限回避するためにも、咬合調整や小矯正により大きな力が上顎前歯にかからないような環境を整えることが大切です。
マウスピース矯正の注意事項(リスク・副作用など)
- 口腔内・歯並びの状態によっては対応できない場合があります
- マウスピース型矯正装置の長時間装着(1日20時間以上)が必須です
- 治療計画通りに進めるためには、患者様の意志が重要になります
- 矯正治療後の保定が不十分だと後戻り(元の位置に戻ろうとする動き)をします
- 薬機法対象外の矯正歯科装置のため医薬品副作用被害救済制度の対象外となる場合があります
- 自費診療(保険適用外)となります
当サイトの内容、テキスト、画像等の無断転載、複製、複写、盗用を固く禁じます。










