症例詳細
Case detail
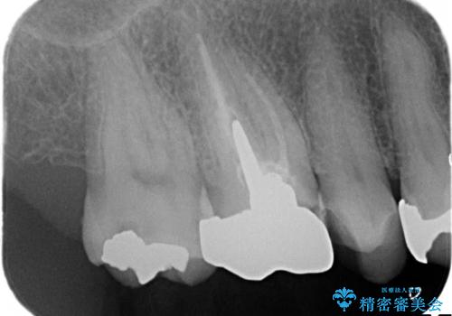
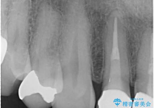
金属だらけの奥歯 根管治療のやり直しとセラミック化
治療症例の内容
- 診療科目
- 担当医
- 患者様
- 40代男性
- 治療期間
- 4ヶ月
- 治療回数
- 2-5回
- 治療計画
- 神経のある歯を先にセラミック修復し、その後根管治療のやり直しを行う
→最終的にクラウンを製作し、きれいな奥歯を獲得する
- 費用(概算)
- 42万円費用は治療当時の料金となります
治療について
インレー(詰め物)は、神経を保存したまま上部を丁寧にやり替えます。
神経の無い歯のクラウン(かぶせ物)は、根管治療を顕微鏡下でしっかりとやり直し、その後に土台の築造とかぶせ物の製作を行うことで今後問題が生じる可能性を可及的に低くできます。
かぶせ物の種類:Bellezza
詰め物の種類:e.max press In
根管治療の注意事項(リスク・副作用など)
- 根管治療により類似の全ての症例の問題が解決するわけではなく、症例はあくまでも一例です
- 根管治療により痛みや腫れがひかない事や、術後に痛みや腫れが生じる事、治療によるファイル破折やパーフォレーションなどの偶発症、術後の歯根破折を生じる可能性もあります
- 自費診療(保険適用外)となります
セラミック治療の注意事項(リスク・副作用など)
- 天然歯を削ります
- 硬い素材は天然歯を傷つけてしまう場合があります
- かみ合わせや歯ぎしりが強すぎる方はセラミックが割れてしまう可能性があります
- 自費診療(保険適用外治療)となります
当サイトの内容、テキスト、画像等の無断転載、複製、複写、盗用を固く禁じます。













