症例詳細
Case detail
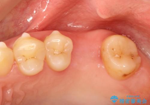
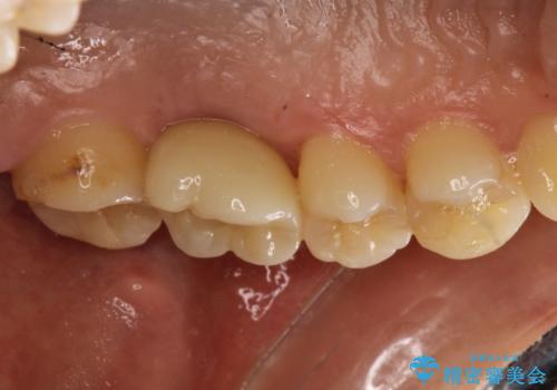
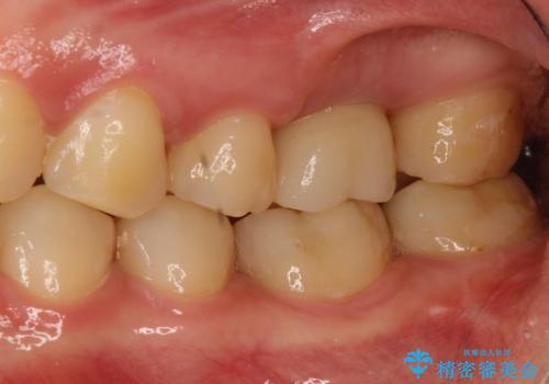
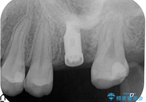
奥歯が割れてしまった! → インプラントによるかみ合わせの回復
治療症例の内容
- 担当医
- 患者様
- 20代女性
- 治療期間
- 5ヶ月
- 治療回数
- 5-10回
- 治療計画
- 歯根破折を生じた奥歯を抜歯後、治癒の期間を経てインプラントを埋入
→2時手術の後、インプラントレベルの型どりにて上部構造まで完成させる
- 費用(概算)
- 約33万円費用は治療当時の料金となります
治療について
インプラントは、身体的要請あるいは期間・費用的要請によりそれが困難である場合を除いて、欠損を補う方法としては最も優れた方法といえます。
インプラントの種類:Zimmer spline
かぶせものの種類:Bellezza
インプラント治療の注意事項(リスク・副作用など)
- 外科手術のため、術後に痛みや腫れ、違和感を伴います
- メンテナンスを怠ったり喫煙により、お口の中に大きな悪影響を及ぼすインプラント周囲炎等にかかる可能性があります
- 糖尿病、肝硬変、心臓病等の場合、インプラント治療ができない可能性があります
- 高血圧、貧血・不整脈等の場合、インプラント治療後に治癒不全を招く可能性があります
- 自費診療(保険適用外治療)となります
セラミック治療の注意事項(リスク・副作用など)
- 天然歯を削ります
- 硬い素材は天然歯を傷つけてしまう場合があります
- かみ合わせや歯ぎしりが強すぎる方はセラミックが割れてしまう可能性があります
- 自費診療(保険適用外治療)となります
当サイトの内容、テキスト、画像等の無断転載、複製、複写、盗用を固く禁じます。













