症例詳細
Case detail
【歯周外科】審美的に気になる短い前歯の長さを歯茎の外科手術とセラミックで揃える
治療症例の内容
- 診療科目
- 治療カテゴリ
- 担当医
- 患者様
- 20代女性
- 治療期間
- 6ヶ月
- 治療回数
- 5-10回
- 治療計画
- 前歯の長さが揃っているように見せるには
・矯正治療で歯を移動させる
・歯や歯ぐきなどその周りの周囲組織を整える外科的手術を行う
・セラミック治療
の3つの方法があります。
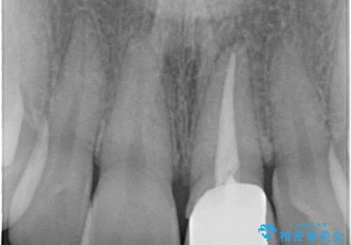
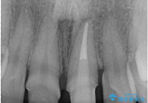
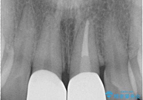
今回は、仮歯の状態で歯の長さを調整する歯周外科をおこなう
→歯茎の治りを待っている間、根管治療のやり直しを行う
→土台を築造しセラミックを完成させる
ことで前歯を残し、長さが揃うようにしました。
- 費用(概算)
- 約35万円費用は治療当時の料金となります
治療について
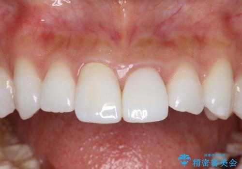
左上の前歯がわずかに短いことを気にされていたため、歯周外科にてこれを可及的に改善し、セラミックにて修復を行いました。
セラミックの種類:PFZ standard
歯周病治療の注意事項(リスク・副作用など)
- 外科手術のため、術後に痛みや腫れ、違和感を伴います
- 歯周組織再生治療は患者様の状態によって術後の経過が異なります(見た目が改善しない場合もあります)
- 歯周組織再生治療は自費診療(保険適用外)となります
セラミック治療の注意事項(リスク・副作用など)
- 天然歯を削ります
- 硬い素材は天然歯を傷つけてしまう場合があります
- かみ合わせや歯ぎしりが強すぎる方はセラミックが割れてしまう可能性があります
- 自費診療(保険適用外治療)となります
当サイトの内容、テキスト、画像等の無断転載、複製、複写、盗用を固く禁じます。








