症例詳細
Case detail
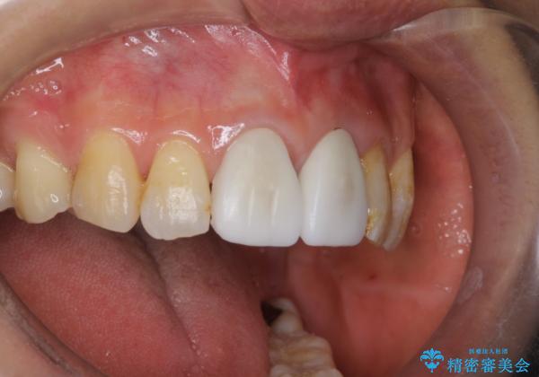
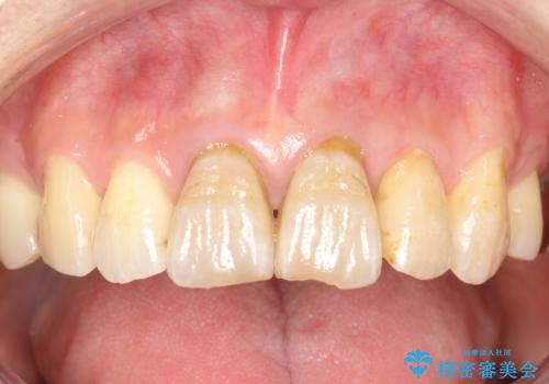
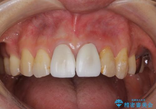
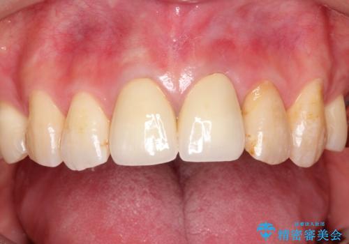
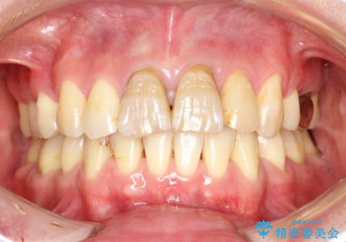
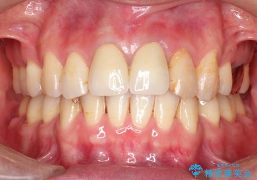
変色した前歯をセラミックできれいに レイヤリングセラミック
治療症例の内容
- 診療科目
- 治療カテゴリ
- 担当医
- 患者様
- 30代女性
- 治療期間
- 1ヶ月
- 治療回数
- 2-5回
- 治療計画
- 仮歯の製作→ワックスモデルの試適合による形態の確認→セラミックの完成
- 費用(概算)
- 22万円費用は治療当時の料金となります
治療について
前歯のセラミック治療では、他の歯と色調をそろえるのが非常に難しいです。
他の歯に亀裂や白濁など複雑な色合いがある場合、それらをセラミックで再現することも可能ですが、スタンダードのオールセラミックではある程度の同調となります。
かぶせ物の種類: PFZ standard
セラミック治療の注意事項(リスク・副作用など)
- 天然歯を削ります
- 硬い素材は天然歯を傷つけてしまう場合があります
- かみ合わせや歯ぎしりが強すぎる方はセラミックが割れてしまう可能性があります
- 自費診療(保険適用外治療)となります
当サイトの内容、テキスト、画像等の無断転載、複製、複写、盗用を固く禁じます。








 
                       
                                                          








 
                   
                   
                  