症例詳細
Case detail
海外転勤前にセラミック治療
治療症例の内容
- 診療科目
- 治療カテゴリ
- 担当医
- 患者様
- 30代女性
- 治療期間
- 2ヶ月
- 治療回数
- 2-5回
- 治療計画
- 他院で自費根管治療、矯正治療、セラミック治療をする予定でしたが、根管治療終了後から忙しく通わなくなり放置していました。
海外転勤が決まったため、それまでに治療をしてほしいとご来院されました。(矯正治療はせずにセラミック治療のみ)
- 費用(概算)
- 18万円費用は治療当時の料金となります
治療詳細
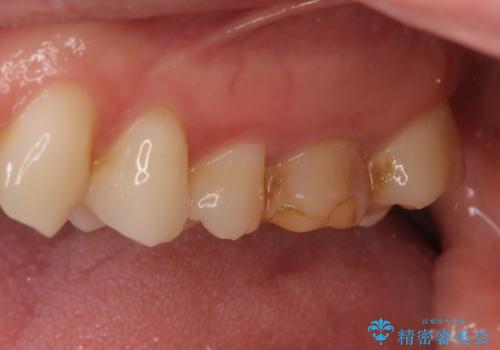
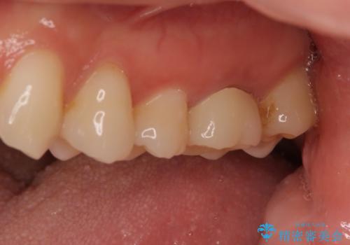
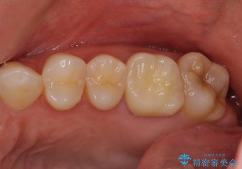
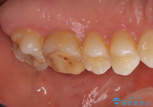
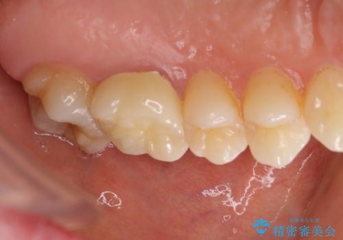
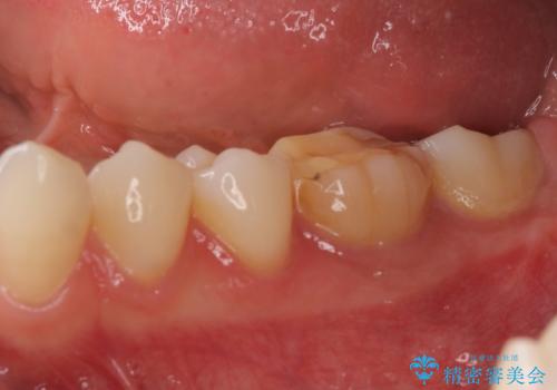
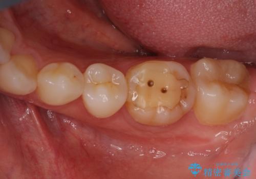
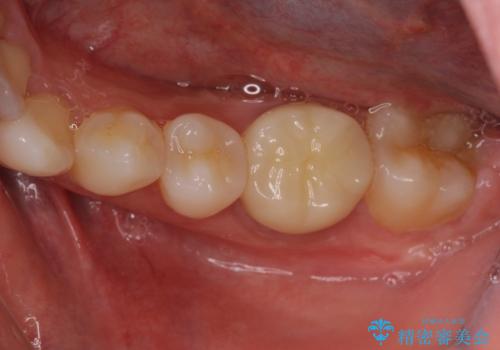
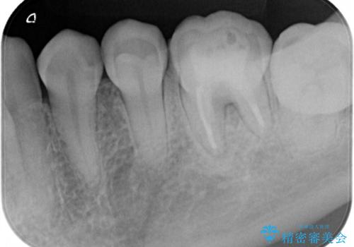
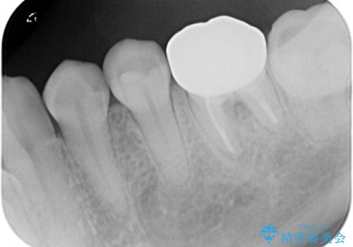
海外転勤が決まり、急いでセラミック治療をしてほしいとご来院された患者様です。
根管治療に症状がなく、上の歯に関しては土台もそのまま使用可能であったため、下の歯の土台、上下の歯のセラミック治療を行いました。
治療の注意事項
今回は幸い、症状がなく、根管治療の再治療が必要でないため、円滑に治療を進めることができました。
治療期間に関しては、歯の状態によりご希望に沿えない可能性があります。
セラミック治療の注意事項(リスク・副作用など)
- 天然歯を削ります
- 硬い素材は天然歯を傷つけてしまう場合があります
- かみ合わせや歯ぎしりが強すぎる方はセラミックが割れてしまう可能性があります
- 自費診療(保険適用外治療)となります
当サイトの内容、テキスト、画像等の無断転載、複製、複写、盗用を固く禁じます。


















