症例詳細
Case detail
前歯のつめものが汚い セラミックできれいに
治療症例の内容
- 診療科目
- 治療カテゴリ
- 担当医
- 患者様
- 20代男性
- 治療期間
- 1ヶ月
- 治療回数
- 2-5回
- 治療計画
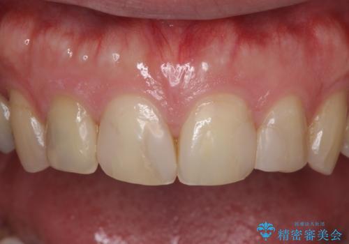
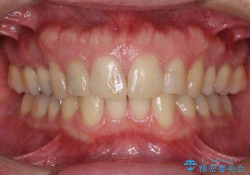
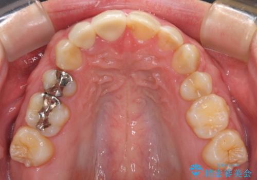
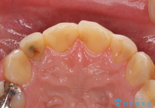
- 前歯の見た目を主訴にご来院された患者様です。虫歯治療を複数回繰り返して、前歯のつめものがつぎはぎになっていました。
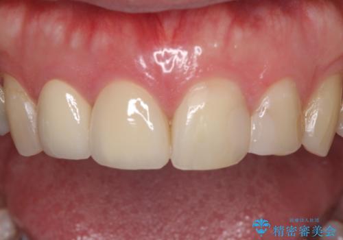
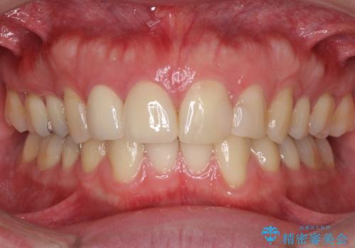
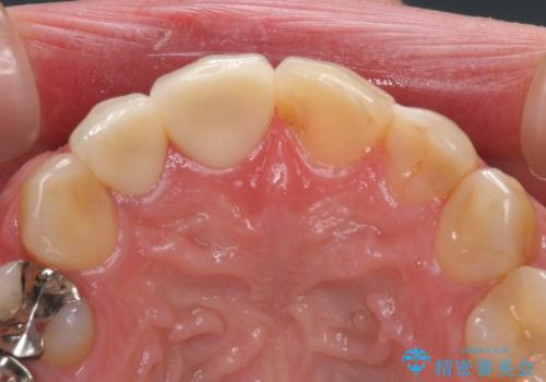
当初は1番目立つ1本だけをご希望でしたが、相談の結果、隣の歯(神経が抜いてあり金属が入っている歯)と2本同時に製作することになりました。
上の前歯など審美性の要求が高くなる部位については、数本同時に製作することで色をそろえることが可能です。
- 費用(概算)
- 24万円費用は治療当時の料金となります
治療詳細
患者様は前歯の見た目の改善を主訴にご来院されました。上の前歯6本とも古いつめものがつぎはぎになっていましたが、まずは1番目立つところを治すことをご希望でした。相談の結果、今回は2本できれいになるように工夫しました。
患者様には大変満足して頂きました。
セラミック治療の注意事項(リスク・副作用など)
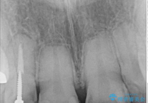
- 天然歯を削ります
- 硬い素材は天然歯を傷つけてしまう場合があります
- かみ合わせや歯ぎしりが強すぎる方はセラミックが割れてしまう可能性があります
- 自費診療(保険適用外治療)となります
当サイトの内容、テキスト、画像等の無断転載、複製、複写、盗用を固く禁じます。












