症例詳細
Case detail
八重歯 抜かずにマウスピース矯正治療
治療症例の内容
- 担当医
- 井上季実子(ドクタープロフィール)
- 患者様
- 20代女性
- 矯正装置
- インビザライン
- 治療期間
- 1年3ヶ月
- 治療回数
- 10-30回
- 治療計画
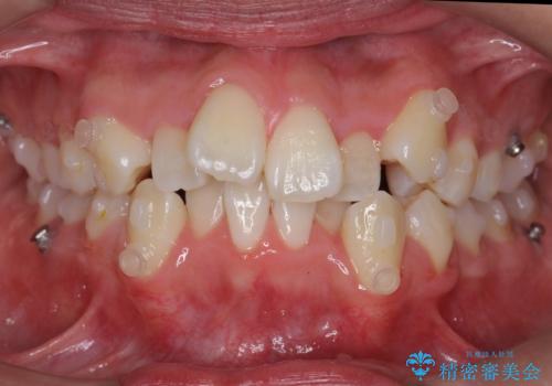
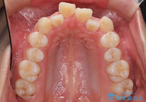
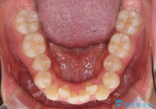
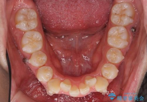
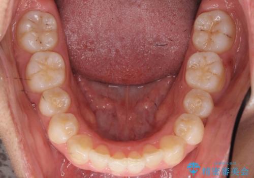
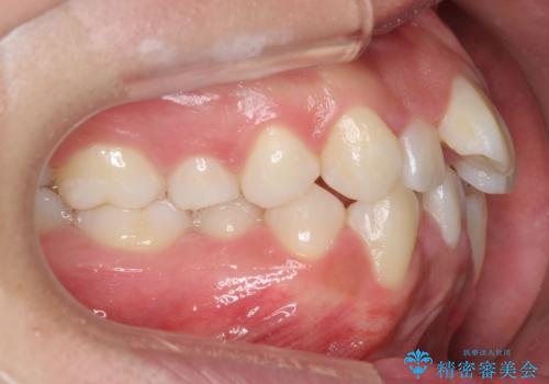
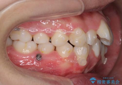
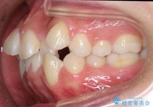
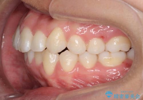
- 八重歯を主訴に来院。
(1)口元を下げるなら、上下左右抜歯でワイヤー矯正
(2)奥歯を後ろに下げ、歯並びを拡大し、歯を少し削って抜かずにインビザライン矯正 矯正用ミニスクリュー併用 口元は下がらない
の選択肢から選んでもらいました。
目立たない装置希望とのことで、(2)を選択されました。
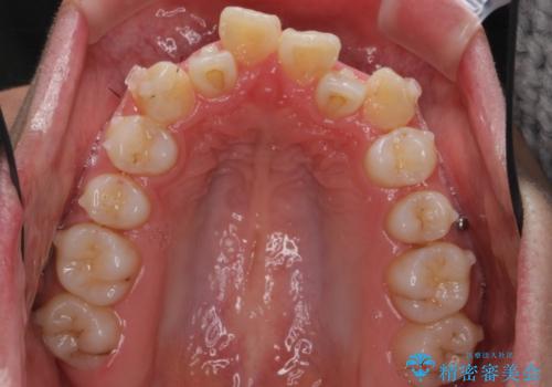
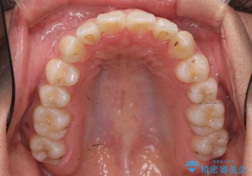
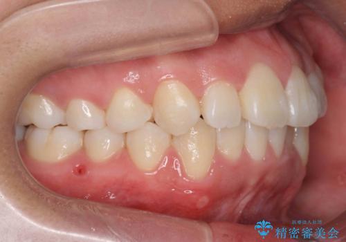
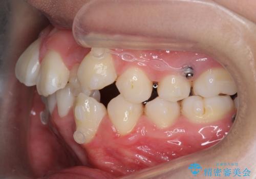
リファインメントもなく、1回で治療が終了しました。大変うまくいったケースです。
主治医としては、前歯の並びをもう少しこだわりたかったのですが、満足度が高く、リファインメントは希望されませんでした。
- 費用(概算)
- 95万円(インビザライン:85万円 付加装置:ミニスクリュー10万円)費用は治療当時の料金となります
治療について
抜歯をしていないので口元は変わっていません。
八重歯も重症でなければインビザラインでも並びを歯を抜かずに整えることができます。
マウスピース矯正の注意事項(リスク・副作用など)
- 口腔内・歯並びの状態によっては対応できない場合があります
- マウスピース型矯正装置の長時間装着(1日20時間以上)が必須です
- 治療計画通りに進めるためには、患者様の意志が重要になります
- 矯正治療後の保定が不十分だと後戻り(元の位置に戻ろうとする動き)をします
- 薬機法対象外の矯正歯科装置のため医薬品副作用被害救済制度の対象外となる場合があります
- 自費診療(保険適用外)となります
当サイトの内容、テキスト、画像等の無断転載、複製、複写、盗用を固く禁じます。



















