症例詳細
Case detail
八重歯 前歯のがたがた 抜歯してワイヤー矯正
治療症例の内容
- 診療科目
 
- 担当医
 - 井上季実子(ドクタープロフィール)
 
- 患者様
 - 20代女性
 
- 矯正装置
 - 審美装置
 
- 治療期間
 - 2年
 
- 治療回数
 - 10-30回
 
- 治療計画
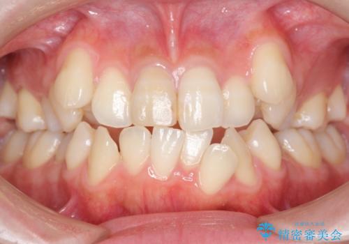
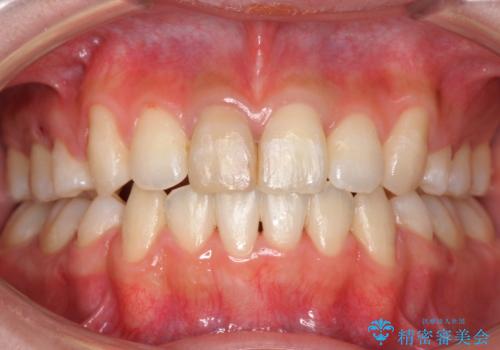
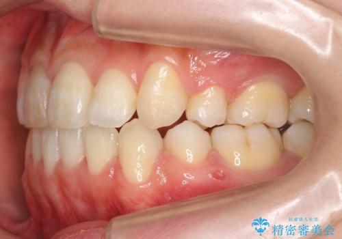
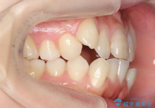
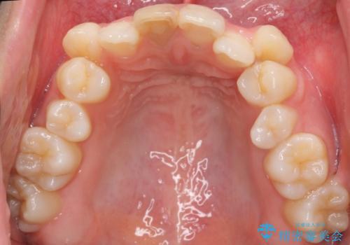
 - 前歯のがたがたを主訴に来院。
八重歯と、前歯のやや開咬の症状もあり難易度としては中等度でした。
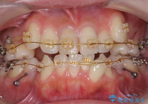
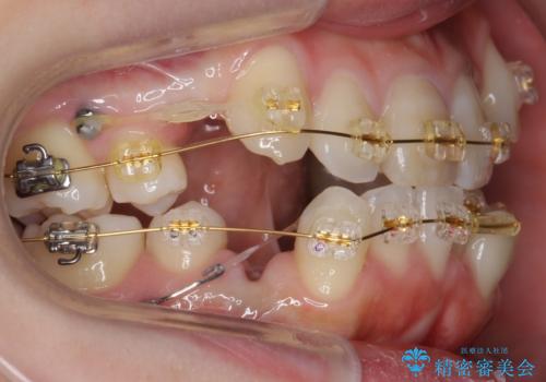
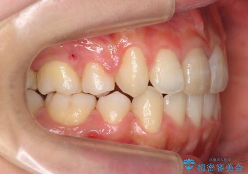
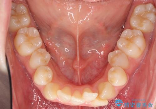
上下左右の小臼歯を抜歯し、ワイヤー矯正を行いました。 
- 費用(概算)
 - 95万円費用は治療当時の料金となります
 
治療について
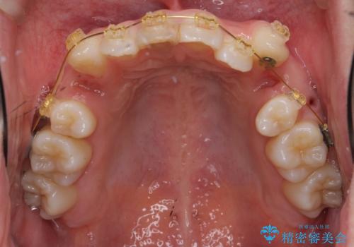
犬歯のコントロールが難しく、矯正用ミニスクリューを併用しました。
奥歯の歯の間が狭く、ミニスクリューを入れるのも難しい症例でした。
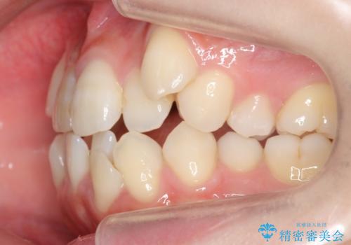
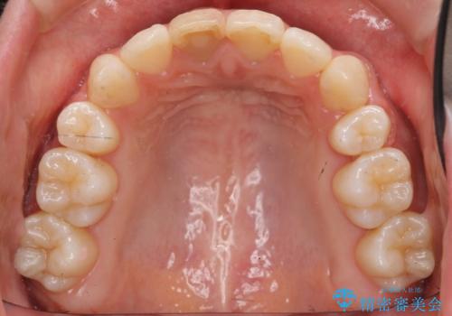
右上の前歯は変色もあり、神経の治療後にセラミックを被せる予定です。
ワイヤー矯正の注意事項(リスク・副作用など)
- 治療中は違和感や痛みが起こることがあります
 - 症状により、抜歯が必要な場合があります
 - 治療中は歯磨きがしにくくなるため、虫歯や歯周病になりやすくなります
 - 矯正治療後の保定が不十分だと後戻り(元の位置に戻ろうとする動き)をします
 - 自費診療(保険適用外)となります
 
当サイトの内容、テキスト、画像等の無断転載、複製、複写、盗用を固く禁じます。

                      
                                                          

















