症例詳細
Case detail
骨が薄い部位への骨造成をともなうインプラント
治療症例の内容
- 担当医
- 患者様
- 40代女性
- 治療期間
- 1年
- 治療回数
- 5-10回
- 治療計画
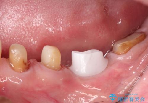
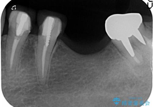
- 左下6番目の歯が欠損しており、インプラントで治療することとなりました。
骨の横幅が薄くなっており、インプラントを埋入するには骨幅が足りない状態でした。
まず最初に骨造成を行い、その後にインプラント埋入手術を行うこととなりました。
- 費用(概算)
- 約45万円(インプラント部のみ)費用は治療当時の料金となります
治療について
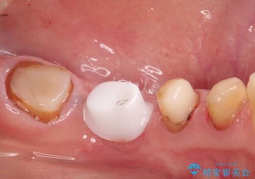
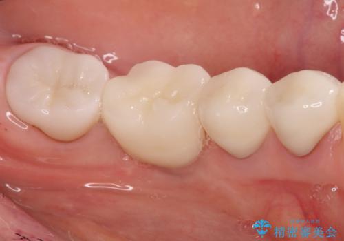
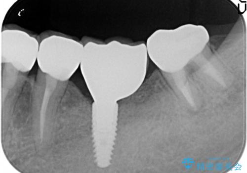
骨を増やすための手術が必要になるので、通常のインプラント治療より手術回数が一回多くなってしまうのがデメリットですが、将来的に安定したインプラントにするため、骨造成手術を前もって行いました。
しっかりとした骨幅を獲得し、理想的な太さのインプラントを埋入することができました。
インプラント治療の注意事項(リスク・副作用など)
- 外科手術のため、術後に痛みや腫れ、違和感を伴います
- メンテナンスを怠ったり喫煙により、お口の中に大きな悪影響を及ぼすインプラント周囲炎等にかかる可能性があります
- 糖尿病、肝硬変、心臓病等の場合、インプラント治療ができない可能性があります
- 高血圧、貧血・不整脈等の場合、インプラント治療後に治癒不全を招く可能性があります
- 自費診療(保険適用外治療)となります
外科処置の注意事項(リスク・副作用など)
- 外科手術のため、術後に出血、痛みや腫れ、違和感を伴います
- 口腔内の状態によっては適応できないことがあります
当サイトの内容、テキスト、画像等の無断転載、複製、複写、盗用を固く禁じます。


















