症例詳細
Case detail
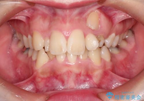
叢生(八重歯) 4本抜歯(10代女性)
治療症例の内容
- 診療科目
- 治療カテゴリ
- 担当医
- 患者様
- 10代女性
- 矯正装置
- 審美装置
- 治療期間
- 1年6ヶ月
- 治療回数
- 10-30回
- 治療計画
- 4本の抜歯
- 費用(概算)
- 800,000円費用は治療当時の料金となります
治療について
上下、左右1本ずつ、抜歯しました。
口元がとてもすっきりとしました。
ワイヤー矯正の注意事項(リスク・副作用など)
- 治療中は違和感や痛みが起こることがあります
- 症状により、抜歯が必要な場合があります
- 治療中は歯磨きがしにくくなるため、虫歯や歯周病になりやすくなります
- 矯正治療後の保定が不十分だと後戻り(元の位置に戻ろうとする動き)をします
- 自費診療(保険適用外)となります
当サイトの内容、テキスト、画像等の無断転載、複製、複写、盗用を固く禁じます。










