症例詳細
Case detail
気になる出っ歯をインビザラインで改善
治療症例の内容
- 診療科目
- 治療カテゴリ
- 担当医
- 藤巻太一朗(ドクタープロフィール)
- 患者様
- 20代男性
- 矯正装置
- インビザライン
- 治療期間
- 2年3ヶ月
- 治療回数
- 10-30回
- 治療計画
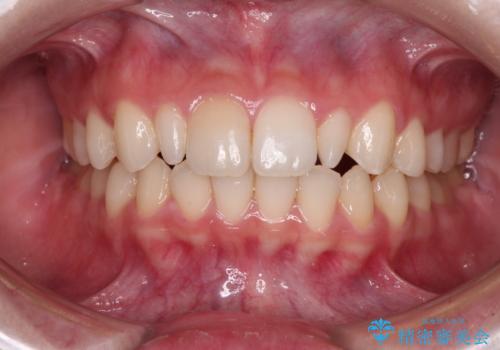
- 上の前歯が出っ歯であることを気にして来院された患者様です。
上の歯列全体が前方に突出している咬み合わせであったので、事前に補助装置を用いて、上の歯列全体を後方に移動させ、その後上下歯列をインビザラインで整えることとしました。
上顎歯列の後方移動に伴い、左右の親知らずを抜歯することとしました。
- 費用(概算)
- 治療費の目安: 85万円費用は治療当時の料金となります
治療について
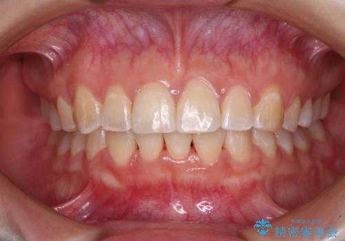
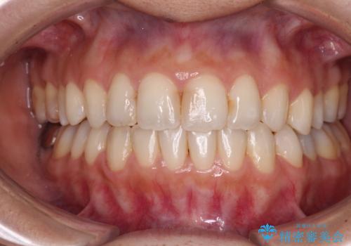
治療期間は長くなりましたが、出っ歯が改善することができました。
治療を行いながら、果たして奥歯の咬み合わせを改善することができるのかという不安はありましたが、結果としては理想的な咬合を獲得することができました。
口が閉じやすくなり、患者様には大変満足していただきました。
マウスピース矯正の注意事項(リスク・副作用など)
- 口腔内・歯並びの状態によっては対応できない場合があります
- マウスピース型矯正装置の長時間装着(1日20時間以上)が必須です
- 治療計画通りに進めるためには、患者様の意志が重要になります
- 矯正治療後の保定が不十分だと後戻り(元の位置に戻ろうとする動き)をします
- 薬機法対象外の矯正歯科装置のため医薬品副作用被害救済制度の対象外となる場合があります
- 自費診療(保険適用外)となります
当サイトの内容、テキスト、画像等の無断転載、複製、複写、盗用を固く禁じます。




























