症例詳細
Case detail
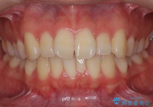
右だけ八重歯 最少限の抜歯
治療症例の内容
- 診療科目
- 担当医
- 井上季実子(ドクタープロフィール)
- 患者様
- 30代女性
- 矯正装置
- 審美装置
- 治療期間
- 2年
- 治療回数
- 10-30回
- 治療計画
- 八重歯を主訴に来院。
抜歯本数をできるだけ少なくしたいとのことで、上下左右ではなく、右の上下のみの抜歯としました。
通常偏側抜歯(右、左どちらかだけ抜歯すること)を行う場合は、治療後に歯の正中が抜歯側にやや寄ってしまう欠点がありますが、今回は右のみ極端に混雑していた上、正中も治療前は左に少しずれていたため、適応と判断しました。
右側は上下とも混雑していたためやむなく抜歯しましたが、左上下についてはIPR(歯を細く削る)で対応しました。
- 費用(概算)
- 95万円費用は治療当時の料金となります
治療について
左側を非抜歯で行なった影響で、下顎前歯(特に左下1)の歯肉がやや薄くなっています。退縮はしていないため、今現在は問題はありません。ただし、将来的な歯肉の退縮を予防するのに、厚みを出すため、治療途中で歯肉の移植(CTG)を提案させていただきましたが、患者様のご希望で行わない方向になりました。
ワイヤー矯正の注意事項(リスク・副作用など)
- 治療中は違和感や痛みが起こることがあります
- 症状により、抜歯が必要な場合があります
- 治療中は歯磨きがしにくくなるため、虫歯や歯周病になりやすくなります
- 矯正治療後の保定が不十分だと後戻り(元の位置に戻ろうとする動き)をします
- 自費診療(保険適用外)となります
当サイトの内容、テキスト、画像等の無断転載、複製、複写、盗用を固く禁じます。

















