症例詳細
Case detail
前歯がガタガタで食べ物が咬み切れない フルリンガルによる裏側矯正
治療症例の内容
- 担当医
- 患者様
- 20代女性
- 矯正装置
- フルリンガル(裏側装置)
- 治療期間
- 3年
- 治療回数
- 10-30回
- 治療計画
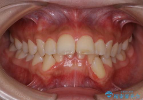
- 前歯のガタガタと前歯で食べ物が咬み切りにくいとのことで来院されました。
ガタガタの度合いが強く上下左右の前から4番目の歯を合計4本抜歯する計画としました。
また目立たない装置をご希望されたので、フルリンガルでの矯正治療となりました。
- 費用(概算)
- 約130万円費用は治療当時の料金となります
治療について
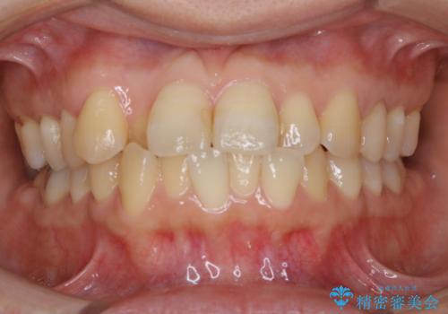
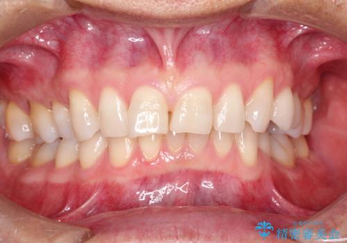
ガタガタの度合いが強く、上下の前歯が当たっていない状態であったので、治療期間が少し長くなりました。しかし、ガタガタがなくなり、前歯で食べ物が咬み切れるようになり、患者様にも満足していただけました。
ワイヤー矯正の注意事項(リスク・副作用など)
- 治療中は違和感や痛みが起こることがあります
- 症状により、抜歯が必要な場合があります
- 治療中は歯磨きがしにくくなるため、虫歯や歯周病になりやすくなります
- 矯正治療後の保定が不十分だと後戻り(元の位置に戻ろうとする動き)をします
- 自費診療(保険適用外)となります
当サイトの内容、テキスト、画像等の無断転載、複製、複写、盗用を固く禁じます。

















