症例詳細
Case detail
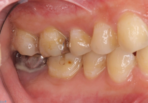
銀歯の周りが虫歯 セラミックに
治療症例の内容
- 診療科目
- 治療カテゴリ
- 担当医
- 井上季実子(ドクタープロフィール)
- 患者様
- 30代女性
- 治療期間
- 2ヶ月
- 治療回数
- 2-5回
- 治療計画
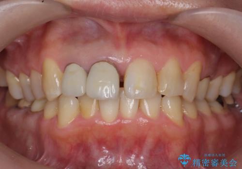
- 矯正治療後に銀歯ををセラミックにやりかえました。
銀歯の下、周りの虫歯はしっかりお取りしています。
矯正治療については以下で紹介しています。
https://seimitsushinbi.jp/case/35368/
- 費用(概算)
- 22万円 (左下67 仮歯1万円x2本、ジルコニアクラウン10万円x2本)費用は治療当時の料金となります
治療について
シリコンで精密に歯型をとることで、キワまでピッタリ合った被せ物を被せます。
セラミック治療の注意事項(リスク・副作用など)
- 天然歯を削ります
- 硬い素材は天然歯を傷つけてしまう場合があります
- かみ合わせや歯ぎしりが強すぎる方はセラミックが割れてしまう可能性があります
- 自費診療(保険適用外治療)となります
当サイトの内容、テキスト、画像等の無断転載、複製、複写、盗用を固く禁じます。











