症例詳細
Case detail
笑った時に見える銀歯を白く
治療症例の内容
- 診療科目
- 治療カテゴリ
- 担当医
- 大元洋佑(ドクタープロフィール)
- 患者様
- 30代女性
- 治療期間
- 1ヶ月
- 治療回数
- 2-5回
- 治療計画
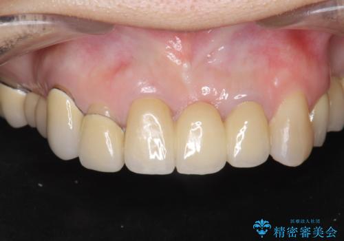
- 笑った時に見える銀歯の改善を希望され来院されました。
 銀歯を除去し、再発していた虫歯も除去しセラミックインレーで修復を行いました。
- 費用(概算)
- 14万円費用は治療当時の料金となります
笑った時に見える銀歯について
特に下顎の銀歯は笑った時に見えてしまうことで悩まれている方が多く見受けられます。
適合も良く、ほとんど劣化のないセラミックインレーは審美性に優れ大きく口を開けて笑うことができるようになったと喜んでいただくことができました。
セラミック治療の注意事項(リスク・副作用など)
- 天然歯を削ります
- 硬い素材は天然歯を傷つけてしまう場合があります
- かみ合わせや歯ぎしりが強すぎる方はセラミックが割れてしまう可能性があります
- 自費診療(保険適用外治療)となります
当サイトの内容、テキスト、画像等の無断転載、複製、複写、盗用を固く禁じます。








 
                       
                                                          







 
                   
                   
                  