症例詳細
Case detail
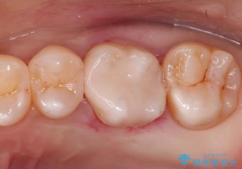
金属の詰め物を外してセラミックインレーに
治療症例の内容
- 診療科目
- 治療カテゴリ
- 担当医
- 河口智英(ドクタープロフィール)
- 患者様
- 20代女性
- 治療期間
- 1ヶ月
- 治療計画
- 矯正終了後に見た目をきれいにしたい希望があり、金属の詰め物を外してセラミックにて修復処置をしました。
- 費用(概算)
- 14万円費用は治療当時の料金となります
治療について
セラミックインレーは天然の歯に近い透明感や色調を再現することが可能です。治療では自然な見た目になるまで追及しますので患者さんには非常に満足していただけました。
セラミック治療の注意事項(リスク・副作用など)
- 天然歯を削ります
- 硬い素材は天然歯を傷つけてしまう場合があります
- かみ合わせや歯ぎしりが強すぎる方はセラミックが割れてしまう可能性があります
- 自費診療(保険適用外治療)となります
当サイトの内容、テキスト、画像等の無断転載、複製、複写、盗用を固く禁じます。







