症例詳細
Case detail
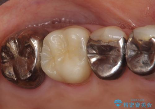
30代男性 奥歯の虫歯治療→セラミックによる修復
治療症例の内容
- 診療科目
- 担当医
- 患者様
- 30代男性
- 治療期間
- 3ヶ月
- 治療回数
- 2-5回
- 治療計画
- 要治療歯を仮歯へ
----虫歯は全て取り除き、失われた部位を材料で補填----
セラミックインレーとあわせて、
最終的な被せものを製作
- 費用(概算)
- 46万円費用は治療当時の料金となります
治療について
治療期間に限りがあったため、一度の診療時間を2~3時間確保し、短期集中型の治療をおこないました。
被せものの種類:ジルコニアオールセラミック スタンダード
e.max プレスインレー(セラミックインレー)
セラミック治療の注意事項(リスク・副作用など)
- 天然歯を削ります
- 硬い素材は天然歯を傷つけてしまう場合があります
- かみ合わせや歯ぎしりが強すぎる方はセラミックが割れてしまう可能性があります
- 自費診療(保険適用外治療)となります
当サイトの内容、テキスト、画像等の無断転載、複製、複写、盗用を固く禁じます。


















