症例詳細
Case detail
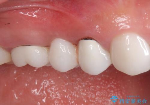
メタルボンドクラウン PGA(ゴールド)インレー 虫歯治療
治療症例の内容
- 診療科目
- 治療カテゴリ
- 担当医
- 患者様
- 30代女性
- 治療期間
- 1ヶ月
- 治療回数
- 2-5回
- 治療計画
- 右下奥歯が痛むといらっしゃった方の症例です。
右下5は虫歯除去後、PGA(ゴールド)インレーによる修復を行いました。
右下6は虫歯が大きかったため、メタルボンドクラウンによる補綴を行いました。
- 費用(概算)
- PGA(ゴールド)インレー…¥70,000、メタルボンドクラウン…¥90,000費用は治療当時の料金となります
PGA(ゴールド)治療について
ゴールドは化学的な安定性が高いため変色や腐食がほとんどなく、アレルギーなども起こりにくい人体に優しい素材です。
また硬さも天然歯に近いため周囲の歯への影響も少なく、さらに適合もよいため虫歯の再発も少ないとても補綴に適した材料です。
メタルボンドクラウンについて
金属フレームを用いたメタルボンドクラウンは、オールセラミッククラウンに比べ審美性で劣るというイメージが強いです。しかし歯肉の下までしっかりと被せれば、唇・頬側からは金属部が見えず、十分に審美的です。
また適合もよく、強度も高いので、奥歯の補綴には適したクラウンです。
虫歯治療について
虫歯治療は虫歯の進行度によって処置が変わってきます。
虫歯が小さければ、インレー・クラウン等による修復・補綴処置を行うだけで済みます。
しかし虫歯が大きくなると神経処置や抜歯等をしなければならない場合もあります。
ですので虫歯治療においては早期発見・早期治療が肝要です。
セラミック治療の注意事項(リスク・副作用など)
- 天然歯を削ります
- 硬い素材は天然歯を傷つけてしまう場合があります
- かみ合わせや歯ぎしりが強すぎる方はセラミックが割れてしまう可能性があります
- 自費診療(保険適用外治療)となります
PGA(ゴールド)クラウン、インレーの注意事項(リスク・副作用など)
- インレーおよびクラウンは脱離するリスクがあります
- 形成量はセラミックより少ないですが、歯の形成、修復後に歯に症状が出ることがあります
- 自費診療(保険適用外治療)となります
当サイトの内容、テキスト、画像等の無断転載、複製、複写、盗用を固く禁じます。











