症例詳細
Case detail
保険治療の白い歯が割れた。
治療症例の内容
- 診療科目
- 治療カテゴリ
- 担当医
- 患者様
- 40代男性
- 治療期間
- 1ヶ月
- 治療回数
- 2-5回
- 治療計画
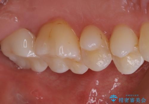
- 4~5年前に保険治療で入れた白い被せ物が割れたと患者様は来院されました。
土台となる自身の歯は虫歯にはなっていませんでした。保険で入れる白い被せ物は壊れやすく劣化するものです。セラミックとの違いを説明した上で、患者様はセラミックを希望されたため、オールセラミッククラウンをかぶせることとなりました。
- 費用(概算)
- オールセラミッククラウン(st.)¥100,000 (+tax)費用は治療当時の料金となります
治療について
今回の患者様の歯の色調について。縞模様が入った3段階の色調でした。オールセラミックのスタンダードの場合技工士さんの立会いがないため、言葉では技工士さんに伝えにくかったり色の再現性が難しい時に歯の色味を伝えるための写真画像を技工所に送ります。
保険治療で白い歯
近年では歯科技術の進歩によって保険適用でも様々な素材の白い歯を入れることができます。
・コンポジットレジン
・硬質レジン前装冠
・CAD/CAM冠
・高強度硬質レジンブリッジ
保険治療の共通したメリットは費用が安い、デメリットは強度が劣ります。
ご自身の治療内容によって保険適用と自費治療を使い分けることをお勧めいたします。
迷われている方は一度無料相談に行って聞いてみるのも良いでしょう。
セラミック治療の注意事項(リスク・副作用など)
- 天然歯を削ります
- 硬い素材は天然歯を傷つけてしまう場合があります
- かみ合わせや歯ぎしりが強すぎる方はセラミックが割れてしまう可能性があります
- 自費診療(保険適用外治療)となります
当サイトの内容、テキスト、画像等の無断転載、複製、複写、盗用を固く禁じます。










