症例詳細
Case detail
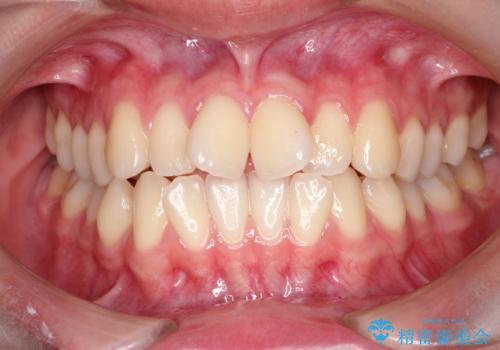
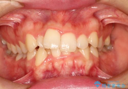
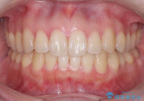
重度の不正咬合 Cl.Ⅱ div.2 を表のワイヤー矯正で綺麗に!
治療症例の内容
- 診療科目
- 治療カテゴリ
- 担当医
- 患者様
- 40代女性
- 矯正装置
- 審美装置
- 治療期間
- 2年4ヶ月
- 治療回数
- 10-30回
- 治療計画
- 右下の第2小臼歯は完全に埋伏していたため、これは歯列に勘定せず計画をたてた
→右側は上顎第1小臼歯の抜歯によるCl.Ⅰ目標
→左側は上顎第1小臼歯抜歯・下顎第2小臼歯の抜歯によるCl.Ⅰ目標
一般的なCl.Ⅱ div.2の治療法に基づき、上顎のフレアアウト後に抜歯を行い、スペースクローズに移行した
- 費用(概算)
- 約90万円費用は治療当時の料金となります
治療について
マウスピース型矯正装置の台頭により、ますます矯正のハードルが低くなり適応が広くなりつつありますが、同時に多くの問題が生じているのも無視できない事実です。
「歯並びをきれいにする」という目的は、ワイヤーもマウスピースも同じですが、歯や、顎口腔周囲組織に対する力のかかり方は全く別物といってもよいものがあります。
従来のワイヤー矯正には、審美面をメインとした様々なデメリットがありますが、長い歴史に裏打ちされたリスクヘッジの技術も豊富にあります。
ワイヤーかマウスピースか、どちらでもよいのか、ワイヤー矯正の技術のある歯科医師にしか判断は難しいでしょう。
ワイヤー矯正の注意事項(リスク・副作用など)
- 治療中は違和感や痛みが起こることがあります
- 症状により、抜歯が必要な場合があります
- 治療中は歯磨きがしにくくなるため、虫歯や歯周病になりやすくなります
- 矯正治療後の保定が不十分だと後戻り(元の位置に戻ろうとする動き)をします
- 自費診療(保険適用外)となります
当サイトの内容、テキスト、画像等の無断転載、複製、複写、盗用を固く禁じます。





















