症例詳細
Case detail
継ぎはぎ状態の奥歯 劣化した材料を取り除きクラウンへ
治療症例の内容
- 診療科目
- 治療カテゴリ
- 担当医
- 患者様
- 30代男性
- 治療期間
- 1ヶ月
- 治療回数
- 2-5回
- 治療計画
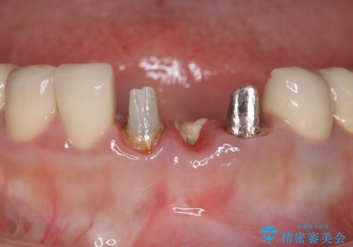
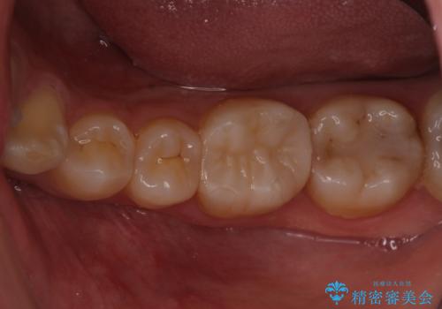
- 劣化した材料の除去
→新しく材料を充填した上でクラウンが入る形態に形成
→セラミッククラウンの製作
- 費用(概算)
- 8万円(含仮歯)費用は治療当時の料金となります
治療について
虫歯を繰り返し、プラスチックの材料で継ぎ接ぎ状態になってしまった歯は、やがて継ぎ目から2次的な虫歯になったり、変色したりと悪循環にはいってしまいます。
劣化した材料・虫歯になってしまった歯質などを全て除去し、健全な歯質のみが残った状態にし、詰め物(インレー)にするか、被せもの(クラウン)にするかを判断します。
セラミック治療の注意事項(リスク・副作用など)
- 天然歯を削ります
- 硬い素材は天然歯を傷つけてしまう場合があります
- かみ合わせや歯ぎしりが強すぎる方はセラミックが割れてしまう可能性があります
- 自費診療(保険適用外治療)となります
当サイトの内容、テキスト、画像等の無断転載、複製、複写、盗用を固く禁じます。












