症例詳細
Case detail
ぷくっと腫れた歯肉が気になる 根管治療とセラミック
治療症例の内容
- 診療科目
- 担当医
- 患者様
- 40代男性
- 治療期間
- 2ヶ月
- 治療回数
- 2-5回
- 治療計画
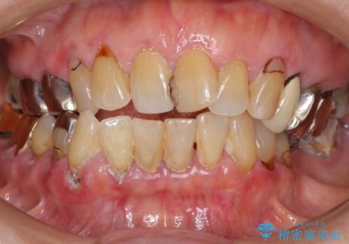
- 奥歯の裏側の歯肉が腫れていることを主訴にご来院された患者様です。古いつめものの下が虫歯になり、細菌が増殖して膿がたまっていることが原因でした。
根管治療とオールセラミッククラウン(スタンダード)での治療をご希望されました。
- 費用(概算)
- 13万円(根管治療は別途。詳細は下に記載あり)費用は治療当時の料金となります
治療詳細
ご来院当初は、歯肉が腫れていることにより、患者様ご本人は歯周病を心配されていました。しかし、診査した結果、歯周病はなく、歯肉が腫れている原因は虫歯(大きくなった虫歯により根管が細菌で汚染されていた)でした。4回にわけて根管治療をさせて頂きましたが、その都度歯肉の腫れが小さくなっていくのを実感して頂きました。
今回のように、大きい虫歯を長期放置していると、痛みがなくても歯肉が腫れてくることがあります。
歯肉がきれいに治り、患者様には大変満足して頂きました。
根管治療について
根管治療は歯内の治療なので患者様には見えない場所ですが、ここが細菌で汚染されると激しい痛みや長引く違和感の原因になります。
当院では、清潔な治療を徹底し、顕微鏡を使用した精密な治療を行っています。
症状や根管の状態により、治療金額が異なります(5~10万円目安)。治療回数による費用負担の増減はありません。通常は2回程度で完了します。
根管治療専門医をご紹介させて頂く場合がございます。
治療の注意事項
セラミック治療はわれるリスクをともないます。
破折リスク軽減のため、ナイトガード(就寝時マウスピース)の使用をおすすめすることがあります。
根管治療では、慢性的な痛みや違和感の場合など、症状がなくなるまで時間がかかることがあります。
また、治療直後一時的に症状が強くなることがあります。
根管治療の注意事項(リスク・副作用など)
- 根管治療により類似の全ての症例の問題が解決するわけではなく、症例はあくまでも一例です
- 根管治療により痛みや腫れがひかない事や、術後に痛みや腫れが生じる事、治療によるファイル破折やパーフォレーションなどの偶発症、術後の歯根破折を生じる可能性もあります
- 自費診療(保険適用外)となります
セラミック治療の注意事項(リスク・副作用など)
- 天然歯を削ります
- 硬い素材は天然歯を傷つけてしまう場合があります
- かみ合わせや歯ぎしりが強すぎる方はセラミックが割れてしまう可能性があります
- 自費診療(保険適用外治療)となります
当サイトの内容、テキスト、画像等の無断転載、複製、複写、盗用を固く禁じます。
























