症例詳細
Case detail
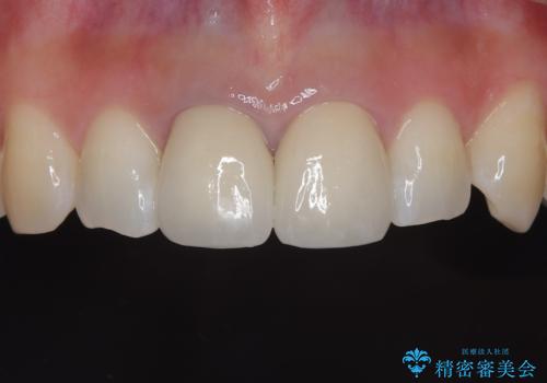
骨が薄い!→スプリットクレスト法によるインプラント治療・咬合回復②~歯肉の移植と2次手術
治療症例の内容
- 患者様
- 50代女性
- 治療期間
- 11ヶ月
- 治療回数
- 5-10回
- 治療計画
- スプリットクレスト及びリッジエキスパンジョンによるインプラント1次手術
→歯肉の移植を伴う2次手術
→連結のスクリュー固定式による上部構造の製作・咬合回復
- 費用(概算)
- 約130万円費用は治療当時の料金となります
歯肉の移植
インプラントがしっかりと機能するためには
・骨が十分にあること
・歯周病がないこと
・角化歯肉があること
が概ねの条件となってきます。
歯が無くなってしまったことにより、顎骨が吸収し、同時に口腔前庭が浅くなり角化歯肉がなくなってしまっている事が多いため、奥歯のインプラント治療では歯肉の移植により角化歯肉を回復してあげることが推奨されます。
しかし、患者さんにとっては痛みなどの不快症状が大きいため、必ずしも必須の処置ではありません。必要性やリスクなど十分相談の上で処置の有無を決めていきます。
①は↓
https://seimitsushinbi.jp/case/27198/
続きは↓
https://seimitsushinbi.jp/case/27237/
セラミック治療の注意事項(リスク・副作用など)
- 天然歯を削ります
- 硬い素材は天然歯を傷つけてしまう場合があります
- かみ合わせや歯ぎしりが強すぎる方はセラミックが割れてしまう可能性があります
- 自費診療(保険適用外治療)となります
インプラント治療の注意事項(リスク・副作用など)
- 外科手術のため、術後に痛みや腫れ、違和感を伴います
- メンテナンスを怠ったり喫煙により、お口の中に大きな悪影響を及ぼすインプラント周囲炎等にかかる可能性があります
- 糖尿病、肝硬変、心臓病等の場合、インプラント治療ができない可能性があります
- 高血圧、貧血・不整脈等の場合、インプラント治療後に治癒不全を招く可能性があります
- 自費診療(保険適用外治療)となります
当サイトの内容、テキスト、画像等の無断転載、複製、複写、盗用を固く禁じます。








