症例詳細
Case detail
前歯の大きい虫歯
治療症例の内容
- 診療科目
- 治療カテゴリ
- 担当医
- 今村大二郎(ドクタープロフィール)
- 患者様
- 30代男性
- 治療期間
- 1ヶ月
- 治療回数
- 2-5回
- 治療計画
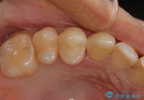
- 虫歯で歯が欠けたことを主訴に来院されました。虫歯の範囲が大きいため被せ物での治療を行うこととなりました。
- 費用(概算)
- 10万円費用は治療当時の料金となります
深い虫歯の治療
虫歯が深く大きくなるほど歯は脆くなっていきます。
虫歯が進行し、神経にまで達している場合には根管治療を行う必要があります。
今回は丁寧に虫歯をとりきることで神経を保存することができました。
セラミック治療の注意事項(リスク・副作用など)
- 天然歯を削ります
- 硬い素材は天然歯を傷つけてしまう場合があります
- かみ合わせや歯ぎしりが強すぎる方はセラミックが割れてしまう可能性があります
- 自費診療(保険適用外治療)となります
当サイトの内容、テキスト、画像等の無断転載、複製、複写、盗用を固く禁じます。















