症例詳細
Case detail
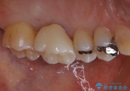
奥歯で広がった虫歯、中途半端な仮詰め状態をセラミッククラウンで解消する
治療症例の内容
- 診療科目
- 治療カテゴリ
- 担当医
- 患者様
- 20代女性
- 治療期間
- 2ヶ月
- 治療回数
- 2-5回
- 治療計画
- 虫歯や仮詰めの材料などを全て丁寧に除去
→仮歯を設定→セラミッククラウンの製作
- 費用(概算)
- 11万円費用は治療当時の料金となります
治療について
セラミックは虫歯菌などに侵されないため、全周をカバーすることで崩壊した歯を修復することができます。
被せものの種類:PFZ standard
セラミック治療の注意事項(リスク・副作用など)
- 天然歯を削ります
- 硬い素材は天然歯を傷つけてしまう場合があります
- かみ合わせや歯ぎしりが強すぎる方はセラミックが割れてしまう可能性があります
- 自費診療(保険適用外治療)となります
当サイトの内容、テキスト、画像等の無断転載、複製、複写、盗用を固く禁じます。











