症例詳細
Case detail
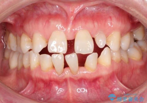
歯根破折で抜歯を余儀なくされた歯のインプラント治療
治療症例の内容
- 患者様
- 50代女性
- 治療期間
- 1年
- 治療回数
- 5-10回
- 治療計画
- 歯根破折した歯の抜歯
→治癒を待ちインプラント1次手術
→治癒を待ちインプラント2次手術
→仮歯の製作後、最終的な上部構造の完成
- 費用(概算)
- 約35万円費用は治療当時の料金となります
治療について
被せものの位置を優先しインプラントを埋入すると(top down)、骨の幅などのコンディションが不十分な場合インプラント体が露出することは往々にしてあります。
骨補填材による被覆などの追加処置があった際は、十分に時間を置いてからの2次手術が推奨されるため、やや時間がかかってしまいました。
インプラントの種類:Strauman SLActinve BLT
上部構造:PFZ Screw Retain
インプラント治療の注意事項(リスク・副作用など)
- 外科手術のため、術後に痛みや腫れ、違和感を伴います
- メンテナンスを怠ったり喫煙により、お口の中に大きな悪影響を及ぼすインプラント周囲炎等にかかる可能性があります
- 糖尿病、肝硬変、心臓病等の場合、インプラント治療ができない可能性があります
- 高血圧、貧血・不整脈等の場合、インプラント治療後に治癒不全を招く可能性があります
- 自費診療(保険適用外治療)となります
セラミック治療の注意事項(リスク・副作用など)
- 天然歯を削ります
- 硬い素材は天然歯を傷つけてしまう場合があります
- かみ合わせや歯ぎしりが強すぎる方はセラミックが割れてしまう可能性があります
- 自費診療(保険適用外治療)となります
当サイトの内容、テキスト、画像等の無断転載、複製、複写、盗用を固く禁じます。













