症例詳細
Case detail
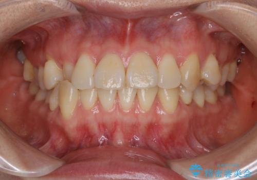
上下裏側矯正 フルリンガルによる上下前歯前突の歯列矯正
治療症例の内容
- 診療科目
- 治療カテゴリ
- 担当医
- 患者様
- 20代女性
- 矯正装置
- 舌側矯正装置
- 治療期間
- 2年
- 治療回数
- 10-30回
- 治療計画
- 口元を改善するため、上下左右4本の第1小臼歯を抜歯し、前歯を後方に牽引する計画としました。
- 費用(概算)
- 約110万費用は治療当時の料金となります
ループメカニクスについて
今回は歯列に大きなガタつきはないため、抜歯してできたスペースを最大限閉鎖しなければなりません。牽引による前歯の倒れ込みを防ぐため、ループを組み込んだワイヤーに曲げを付与し、牽引と倒れ込みの予防を同時に行うことができます。
口元について
口元の前突感を気にして来院される方が沢山いらっしゃいますが、口元は前歯の角度だけではなく、唇の厚さや筋肉、脂肪組織など軟組織の影響も大きく受けています。
抜歯矯正でさえ、口元を大きく変えるのは難しいこともあります。
ワイヤー矯正の注意事項(リスク・副作用など)
- 治療中は違和感や痛みが起こることがあります
- 症状により、抜歯が必要な場合があります
- 治療中は歯磨きがしにくくなるため、虫歯や歯周病になりやすくなります
- 矯正治療後の保定が不十分だと後戻り(元の位置に戻ろうとする動き)をします
- 自費診療(保険適用外)となります
当サイトの内容、テキスト、画像等の無断転載、複製、複写、盗用を固く禁じます。





















