症例詳細
Case detail
黒ずんだ銀歯をゴールドに PGAインレーによる審美修復
治療症例の内容
- 診療科目
- 治療カテゴリ
- 担当医
- 藤巻太一朗(ドクタープロフィール)
- 患者様
- 20代女性
- 治療期間
- 1ヶ月
- 治療回数
- 2-5回
- 治療計画
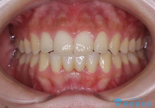
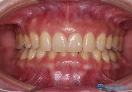
- 口腔内に装着されている銀歯を、全てゴールドに替えたいとのことで来院された患者様です。
セラミックインレーにより、歯と同じような白さで修復することも可能でしたが、適合の良さや歯を痛めない堅さなど、機能面を優先されていたので、ご希望通りにゴールドインレーにて修復することとしました。
- 費用(概算)
- 治療費の目安: 25万円費用は治療当時の料金となります
治療について
ゴールドインレー(PGAインレー・白金加金合金インレー)はセラミックインレーと比べ、「歯の切削量が少ない」、「堅さが歯と近く、咬み合う歯を痛めない」、「技工操作の精度が高く、適合が著しく良い」など、多くのメリットがあります。
一方、金属色であるというデメリットがありますが、銀歯のように黒く変色することもなく、人によっては、きれいで審美的であると思われています。
装着後はお知り合いの方にインレーを見せていたそうで、患者様には大変満足していただきました。
リスクについて
セラミックのものと比べ、金属色による審美障害があります。
PGA(ゴールド)クラウン、インレーの注意事項(リスク・副作用など)
- インレーおよびクラウンは脱離するリスクがあります
- 形成量はセラミックより少ないですが、歯の形成、修復後に歯に症状が出ることがあります
- 自費診療(保険適用外治療)となります
当サイトの内容、テキスト、画像等の無断転載、複製、複写、盗用を固く禁じます。


















