症例詳細
Case detail
出っ歯が気になる インビザラインによる目立たない矯正
治療症例の内容
- 診療科目
- 担当医
- 患者様
- 20代女性
- 矯正装置
- インビザライン
- 治療期間
- 1年2ヶ月
- 治療回数
- 10-30回
- 治療計画
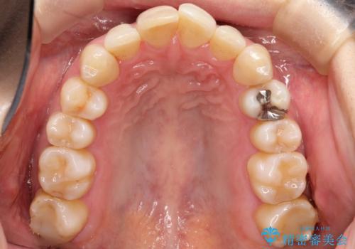
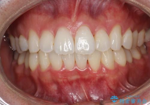
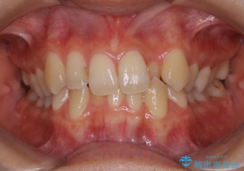
- 上の前歯が出ているのが気になるとのことで来院されました。
インビザラインによる矯正治療がご希望であり、上顎の歯を全体に後方に移動させ、歯と歯の間を少し削り、前歯を内側にひっこめる治療計画としました。
- 費用(概算)
- 約80万円費用は治療当時の料金となります
治療について
マウスピースで、歯を全体的に後方へ移動させるには、顎間ゴムと呼ばれる矯正治療用のゴムを使っていただく必要があります。
顎間ゴムと、歯と歯の間をわずかに削ることにより、前歯の突出感を改善しました。
出っ歯の治療の場合、ケースによっては抜歯が必要となるものもあります。資料をもとに診査・診断を行い治療方針を決定します。
マウスピース矯正の注意事項(リスク・副作用など)
- 口腔内・歯並びの状態によっては対応できない場合があります
- マウスピース型矯正装置の長時間装着(1日20時間以上)が必須です
- 治療計画通りに進めるためには、患者様の意志が重要になります
- 矯正治療後の保定が不十分だと後戻り(元の位置に戻ろうとする動き)をします
- 薬機法対象外の矯正歯科装置のため医薬品副作用被害救済制度の対象外となる場合があります
- 自費診療(保険適用外)となります
当サイトの内容、テキスト、画像等の無断転載、複製、複写、盗用を固く禁じます。





















