症例詳細
Case detail
セラミックによる虫歯治療
治療症例の内容
- 診療科目
- 担当医
- 患者様
- 40代女性
- 治療期間
- 1ヶ月
- 治療回数
- 2-5回
- 治療計画
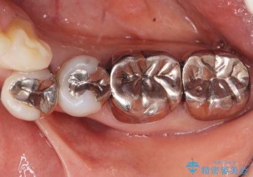
- 右下の4、5番目の歯の間に物がよく詰まる、また冷たいものも時折しみるので診て欲しいと来院された方の症例です。
右下4番目の歯は虫歯除去後、セラミックインレーにて修復処置を行いました。
右下5番目の歯はファイバーコアによって支台歯の築造を行い、オールセラミッククラウンにて補綴処置を行いました。
右下5の再根管治療および他歯の治療は特に症状を認めず、また患者様が御希望されなかったため行いませんでした。
- 費用(概算)
- ¥100,000(オールセラミッククラウン(st))、¥70,000(セラミックインレー)、¥20,000(ファイバーコア)費用は治療当時の料金となります
オールセラミッククラウンによる治療について
オールセラミッククラウンによる補綴の利点の1つとして、適合の良さがあります。クラウンの適合が良ければ二次的な虫歯になる可能性が低くなり、適合が悪ければ虫歯になる可能性が高くなります。特に大きな虫歯があった場合、虫歯が再発すると神経まで感染してしまい根管治療が必要になる可能性もあります。そのため適合のよいクラウンによる補綴は歯を長持ちさせることにつながります。
セラミック治療における注意点
セラミックはかみ合わせが強い場合欠けてしまう場合があります。
そのため当院では十分な咬合調整を行っています。
虫歯治療について
虫歯治療は虫歯の進行度によって処置が変わってきます。
虫歯が小さければ、インレー・クラウン等による修復・補綴処置を行うだけで済みます。
しかし虫歯が大きくなると神経処置や抜歯等をしなければならない場合もあります。
ですので虫歯治療においては早期発見・早期治療が肝要です。
セラミック治療の注意事項(リスク・副作用など)
- 天然歯を削ります
- 硬い素材は天然歯を傷つけてしまう場合があります
- かみ合わせや歯ぎしりが強すぎる方はセラミックが割れてしまう可能性があります
- 自費診療(保険適用外治療)となります
当サイトの内容、テキスト、画像等の無断転載、複製、複写、盗用を固く禁じます。








