症例詳細
Case detail
矯正による八重歯の審美治療
治療症例の内容
- 診療科目
- 治療カテゴリ
- 担当医
- 藤巻太一朗(ドクタープロフィール)
- 患者様
- 20代女性
- 矯正装置
- マウスピース
- 治療期間
- 1年
- 治療回数
- 10-30回
- 治療計画
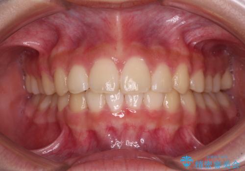
- 前歯の見た目を気にして来院された患者様です。
当初はセラミッククラウンによる審美回復を希望されていましたが、年齢が20代前半であることや、むし歯がほとんどない前歯であることから、矯正治療を行うように説得をしました。
八重歯の後ろの歯を1歯抜歯し、インビザラインにより矯正治療を行うこととしました。
- 費用(概算)
- 治療費の目安: 85万円費用は治療当時の料金となります
治療について
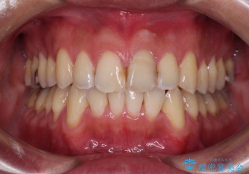
短期間での治療を希望されていたため、八重歯はリンガルアーチを用いて、ゴムの力で引っ張り込むこととしました。
右上の犬歯は骨内に埋もれているため、理想的な咬み合わせを構築することは無理でしたが、前歯の外観は審美的に整い、患者様には大変満足していただきました。
リスクについて
矯正治療は後戻りのリスクがあります。
マウスピース矯正の注意事項(リスク・副作用など)
- 口腔内・歯並びの状態によっては対応できない場合があります
- マウスピース型矯正装置の長時間装着(1日20時間以上)が必須です
- 治療計画通りに進めるためには、患者様の意志が重要になります
- 矯正治療後の保定が不十分だと後戻り(元の位置に戻ろうとする動き)をします
- 薬機法対象外の矯正歯科装置のため医薬品副作用被害救済制度の対象外となる場合があります
- 自費診療(保険適用外)となります
当サイトの内容、テキスト、画像等の無断転載、複製、複写、盗用を固く禁じます。
























