症例詳細
Case detail
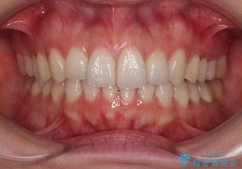
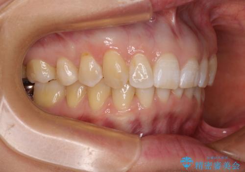
30代女性 ハーフリンガル 1年半の抜歯矯正
治療症例の内容
- 診療科目
- 担当医
- 藤巻太一朗(ドクタープロフィール)
- 患者様
- 30代女性
- 矯正装置
- ハーフリンガル
- 治療期間
- 1年6ヶ月
- 治療回数
- 10-30回
- 治療計画
- 前歯のデコボコと上顎の前突感による口の閉じにくさがあったので、上下左右の小臼歯(計4歯)を抜歯して矯正治療を行うこととしました。
- 費用(概算)
- 治療費の目安: 100万円費用は治療当時の料金となります
治療を終えて
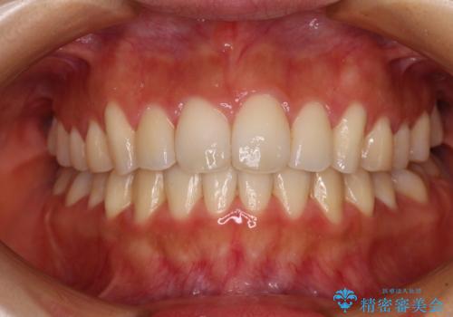
治療期間の目安は2年半~3年間でしたが、スムーズに歯が移動したため、1年半で終了することができました。
短期間であったことはもちろん、口元の張り出し感や歯のデコボコが解消され、患者様には大変満足していただけました。
リスクについて
矯正治療は後戻りのリスクがあります。
動画
ワイヤー矯正の注意事項(リスク・副作用など)
- 治療中は違和感や痛みが起こることがあります
- 症状により、抜歯が必要な場合があります
- 治療中は歯磨きがしにくくなるため、虫歯や歯周病になりやすくなります
- 矯正治療後の保定が不十分だと後戻り(元の位置に戻ろうとする動き)をします
- 自費診療(保険適用外)となります
当サイトの内容、テキスト、画像等の無断転載、複製、複写、盗用を固く禁じます。








