症例詳細
Case detail
水銀を含む環境汚染金属アマルガムの除去 奥歯のセラミックインレー修復
治療症例の内容
- 診療科目
- 治療カテゴリ
- 担当医
- 大元洋佑(ドクタープロフィール)
- 患者様
- 30代男性
- 治療期間
- 1ヶ月
- 治療回数
- 2-5回
- 治療計画
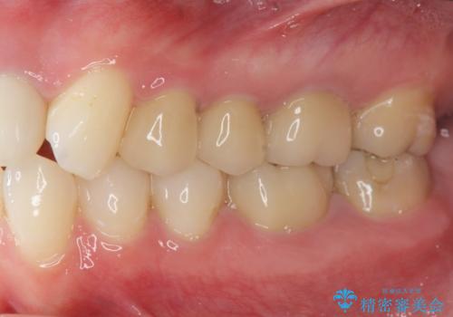
- 古くなった銀歯を白くしたいとの希望で来院されました。
30年ほど前につめた水銀を使用する金属、アマルガム充填がなされていました。
アマルガムが飛散しないよう注意深く除去し、セラミックインレー修復を行います。
- 費用(概算)
- 7万円 (emax プレスインレー)費用は治療当時の料金となります
アマルガムの除去治療について
アマルガムは特に虫歯等の再発が見られない限り除去しなくても健康に著しい悪影響を及ぼすことはないとされていますが、環境汚染の観点からほとんど現在では用いられることのない虫歯の充填方法です。
今回銀歯を白くされたいという希望でしたので、除去の際水銀を含むアマルガムが飛散しなよう細心の注意を払い、丁寧に除去したのちセラミックインレー(emaxプレスインレー)で審美的に修復を行いました。
平成25年9月11日には、日本歯科医師会からも歯科用アマルガムの使用について廃絶に取り組んでいくとの旨の見解が出されています。
アマルガム除去のリスクについて
口の中で化学的に安定しているアマルガムを削って除去する際に水銀が蒸気化し、これを吸い込むリスクが生じます。
アマルガムの除去には人体への影響を最小に抑える(ラバーダム等)の注意が必要です。
セラミック治療の注意事項(リスク・副作用など)
- 天然歯を削ります
- 硬い素材は天然歯を傷つけてしまう場合があります
- かみ合わせや歯ぎしりが強すぎる方はセラミックが割れてしまう可能性があります
- 自費診療(保険適用外治療)となります
当サイトの内容、テキスト、画像等の無断転載、複製、複写、盗用を固く禁じます。





