症例詳細
Case detail
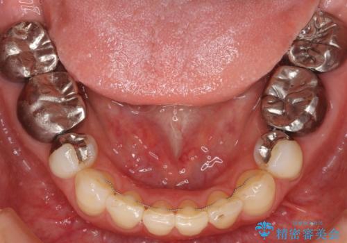
歯ぎしりで擦り減った歯をクラウンに補綴
治療症例の内容
- 診療科目
- 治療カテゴリ
- 担当医
- 患者様
- 40代男性
- 治療期間
- 1ヶ月
- 治療回数
- 2-5回
- 治療計画
- 顎が痛いことを主訴に来院されました。
夜間のナイトガードを作製しました。
右下に装着されているインレーが歯ぎしりによって適合が悪く穴が開いている状態であったため、インレー、虫歯を除去しクラウンを装着しました。
- 費用(概算)
- ジルコニアクラウン 9万円 ×2 (旧料金)費用は治療当時の料金となります
歯ぎしりについて
インレー(詰め物)が装着されている歯に対して、歯ぎしりなどの強い力がかかると歯とインレーの固さの違いから境目の部分に段差が生まれ、そこから虫歯や脱離の原因となる場合があります。
今回のケースでは歯の量が少なく破折等のリスクがあったためクラウン(被せ物)で補綴しまし、夜間にナイトガードを使用しています。
セラミック治療の注意事項(リスク・副作用など)
- 天然歯を削ります
- 硬い素材は天然歯を傷つけてしまう場合があります
- かみ合わせや歯ぎしりが強すぎる方はセラミックが割れてしまう可能性があります
- 自費診療(保険適用外治療)となります
当サイトの内容、テキスト、画像等の無断転載、複製、複写、盗用を固く禁じます。











