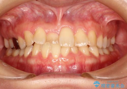
症例詳細
Case detail
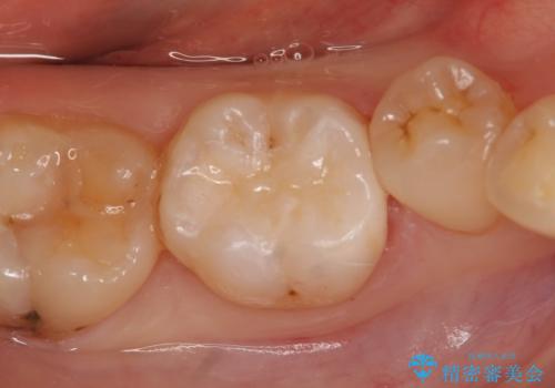
治療途中の歯の補綴
治療症例の内容
- 診療科目
- 治療カテゴリ
- 担当医
- 患者様
- 60代女性
- 治療期間
- 1ヶ月
- 治療回数
- 2-5回
- 治療計画
- 他院にて治療途中の歯をオールセラミッククラウンにして欲しいと来院された患者様です。1年近く仮歯の状態だったため、一度詰めてあったプラスチックを取り除き、残っていた虫歯を除去しました。その後ファイバーコアによる築造、オールセラミッククラウンでの補綴を行いました。
- 費用(概算)
- ¥100,000費用は治療当時の料金となります
オールセラミッククラウンの適合性
オールセラミッククラウンによる補綴の利点の1つとして、適合の良さがあります。クラウンの適合が良ければ二次的な虫歯になる可能性が低くなり、適合が悪ければ虫歯になる可能性が高くなります。
特に既に神経が失活している歯の場合、虫歯が再発しても気が付かず、最悪抜歯になってしまう可能性もあります。そのため適合のよいクラウンによる補綴は歯を長持ちさせることにつながります。
セラミック治療の注意事項(リスク・副作用など)
- 天然歯を削ります
- 硬い素材は天然歯を傷つけてしまう場合があります
- かみ合わせや歯ぎしりが強すぎる方はセラミックが割れてしまう可能性があります
- 自費診療(保険適用外治療)となります
当サイトの内容、テキスト、画像等の無断転載、複製、複写、盗用を固く禁じます。











