症例詳細
Case detail
尖った犬歯を目立たなくする ラミネートベニア修復 他院の矯正治療で前歯の隙間が残ったのを回復
治療症例の内容
- 診療科目
- 治療カテゴリ
- 担当医
- 井上季実子(ドクタープロフィール)
- 患者様
- 20代男性
- 治療期間
- 1ヶ月
- 治療回数
- 2-5回
- 治療計画
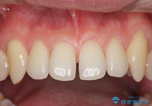
- 他院で矯正を終えた後、犬歯が尖っていることが気になるとのことで来院。
ラミネートベニア修復を希望されました。
2番の欠損により3113の並びになっており、かつ、裏側はワイヤーで固定してありました。
特に右の犬歯と前歯の間には隙間が残っていました。(裏側のワイヤー固定の接着剤で一見隙間がなさそうにカモフラージュしてあります?が・・・)
その部分は汚れが非常にたまりやすくなっていました。
オールセラミッククラウンも選択肢としてあげられましたが、歯の表側のみを削るラミネートベニア修復を選択されました。
裏側の保定装置も外さずに済みました。
- 費用(概算)
- 12万円(旧料金)費用は治療当時の料金となります
-
開始前
-
治療途中
-
終了時
治療について
今回は裏側の保定装置はそのままで、歯を削る量を最小限にしてベニア修復しました。
セラミック治療の注意事項(リスク・副作用など)
- 天然歯を削ります
- 硬い素材は天然歯を傷つけてしまう場合があります
- かみ合わせや歯ぎしりが強すぎる方はセラミックが割れてしまう可能性があります
- 自費診療(保険適用外治療)となります
当サイトの内容、テキスト、画像等の無断転載、複製、複写、盗用を固く禁じます。















