症例詳細
Case detail
20代女性 八重歯 奥歯の反対咬合 前歯のがたがた 急速拡大装置で
治療症例の内容
- 診療科目
- 治療カテゴリ
- 担当医
- 井上季実子(ドクタープロフィール)
- 患者様
- 20代女性
- 矯正装置
- 審美装置
- 治療期間
- 2年3ヶ月
- 治療回数
- 10-30回
- 治療計画
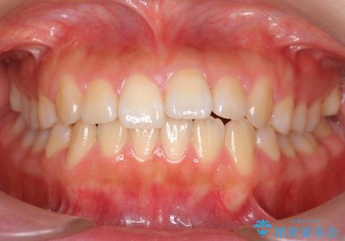
- 八重歯を主訴に来院。
上顎の幅が狭く、左側の臼歯が反対咬合でした。
20歳前後で若かったため、急速拡大装置で上顎骨を横に広げてから矯正を行いました。
急速拡大装置で3ヶ月保定した後、マルチブラケット装置で並べました。
上下の小臼歯を抜歯しています。
- 費用(概算)
- 95万円費用は治療当時の料金となります
治療について
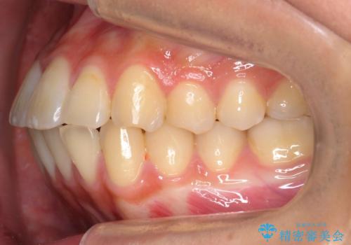
歯だけ頬側に倒す形で歯列を拡大してしまうと、外側に倒れてしまい、機能咬頭同士できちんとかむことができません。
本症例では、上顎の狭窄歯列を予め急速拡大装置で土台ごと広げることにより、奥歯の適切なオーバーバイトを獲得することができました。
また、八重歯だった犬歯もきちんと歯列に収めています。
ワイヤー矯正の注意事項(リスク・副作用など)
- 治療中は違和感や痛みが起こることがあります
- 症状により、抜歯が必要な場合があります
- 治療中は歯磨きがしにくくなるため、虫歯や歯周病になりやすくなります
- 矯正治療後の保定が不十分だと後戻り(元の位置に戻ろうとする動き)をします
- 自費診療(保険適用外)となります
当サイトの内容、テキスト、画像等の無断転載、複製、複写、盗用を固く禁じます。





















