症例詳細
Case detail
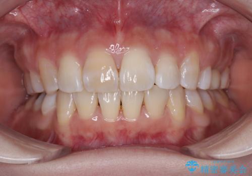
総合歯科診療(着色歯と歯並びの改善)
治療症例の内容
- 診療科目
- 治療カテゴリ
- 担当医
- 藤巻太一朗(ドクタープロフィール)
- 患者様
- 30代男性
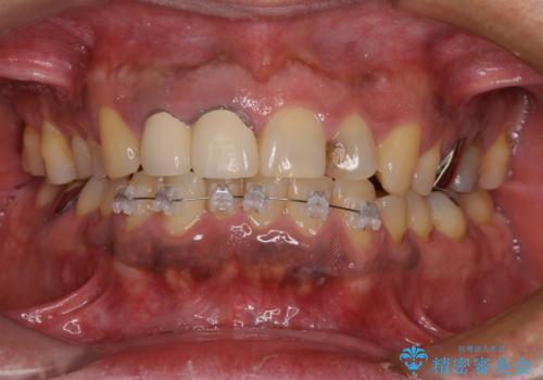
- 矯正装置
- 審美装置
- 治療期間
- 1年4ヶ月
- 治療回数
- 10-30回
- 治療計画
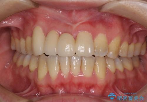
- (1)上顎前歯12本およ臼歯5歯
むし歯治療を実施し、矯正治療用の仮歯へ
(2)全顎矯正歯科治療
小臼歯および親知らずの抜歯が望ましいが、患者様の希望により抜歯せずに排列へ
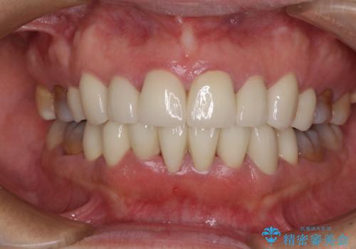
(3)上顎前歯12本おおび臼歯5歯
オールセラミック(ジルコニアクラウン)にて補綴
- 費用(概算)
- 治療費の目安: 330万円費用は治療当時の料金となります
治療を終えて
初診から終了まで1年3ヶ月で、特に矯正歯科治療は被せ物に換える前提であったため8ヶ月間で終了することができました。
矯正歯科治療により、かみ合わせや歯並びを改善することができ、最も気にされていた歯の変色を自然な歯の色に仕上げることができ、大変満足していただけました。
リスクについて
根管治療後は一定の確率で症状が再発する可能性があります。
セラミックは破折などにより修復や再製作が必要となることがあります。
矯正治療は後戻りのリスクがあります。
動画
ワイヤー矯正の注意事項(リスク・副作用など)
- 治療中は違和感や痛みが起こることがあります
- 症状により、抜歯が必要な場合があります
- 治療中は歯磨きがしにくくなるため、虫歯や歯周病になりやすくなります
- 矯正治療後の保定が不十分だと後戻り(元の位置に戻ろうとする動き)をします
- 自費診療(保険適用外)となります
当サイトの内容、テキスト、画像等の無断転載、複製、複写、盗用を固く禁じます。











