症例詳細
Case detail
ボロボロの前歯をセラミックで審美的改善へ
治療症例の内容
- 診療科目
- 治療カテゴリ
- 担当医
- 患者様
- 50代女性
- 治療期間
- 1ヶ月
- 治療回数
- 2-5回
- 治療計画
- 上の前歯に装着されていたラミネートべニアの先端が欠けてしまい、ガタガタになっているのが気になって来院されました。
全体をセラミックで覆うオールセラミッククラウンにて治療することとなりました。
深い咬み合わせ(過蓋咬合)のため矯正治療の提案もしましたが、治療期間が長くなることもあり希望されなかったので、セラミックのみで治療していくことになりました。
- 費用(概算)
- 約30万円費用は治療当時の料金となります
治療について
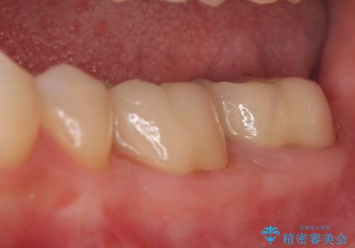
過蓋咬合の場合、将来的にクラウンが割れてしまうリスクもあり、この場合では上下の前歯の矯正をして、理想の位置まで移動させるのがベストだと考えられます。患者様がご希望されなかったので今の状態でクラウンを装着しました。
自然な仕上がりで、患者様にも満足していただけました。
装着したクラウン: オールセラミッククラウン スペシャル
セラミック治療の注意事項(リスク・副作用など)
- 天然歯を削ります
- 硬い素材は天然歯を傷つけてしまう場合があります
- かみ合わせや歯ぎしりが強すぎる方はセラミックが割れてしまう可能性があります
- 自費診療(保険適用外治療)となります
当サイトの内容、テキスト、画像等の無断転載、複製、複写、盗用を固く禁じます。










