症例詳細
Case detail
前歯のねじれ 歯を抜かない矯正治療
治療症例の内容
- 診療科目
- 担当医
- 井上季実子(ドクタープロフィール)
- 患者様
- 20代女性
- 矯正装置
- メタル装置
- 治療期間
- 1年
- 治療回数
- 10-30回
- 治療計画
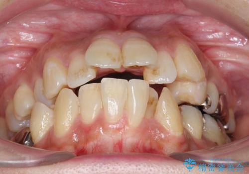
- 主訴 上の前歯が曲がっているので治したい
レントゲンより、右下第一大臼歯に根管治療がなされていたが、パーフォレーションを起こしていた。保険治療の範囲だけであれば抜歯となるところを、銀座しらゆり歯科の林先生に紹介し、パーフォレーションリペアを行い、歯の保存を図った。
当該歯にはファイバーコア、仮歯までかぶせてから矯正治療を開始した。
歯並びに関しては、上顎前歯の翼状捻転、前歯部切端咬合および右側第二小臼歯の反対咬合が認められた。
矯正治療は前歯のディスキングを少量行い、非抜歯でマルチブラケット装置でレベリングを行った。
- 費用(概算)
- 75万円費用は治療当時の料金となります
治療後の感想
自分の歯がまっすぐになったのを舌で感じた時は、すごく感動しました。最善の治療をしてくださった貴院のみなさんにとても感謝しております。本当にありがとうございました。これからもより歯磨きをがんばります。
ワイヤー矯正の注意事項(リスク・副作用など)
- 治療中は違和感や痛みが起こることがあります
- 症状により、抜歯が必要な場合があります
- 治療中は歯磨きがしにくくなるため、虫歯や歯周病になりやすくなります
- 矯正治療後の保定が不十分だと後戻り(元の位置に戻ろうとする動き)をします
- 自費診療(保険適用外)となります
当サイトの内容、テキスト、画像等の無断転載、複製、複写、盗用を固く禁じます。





















